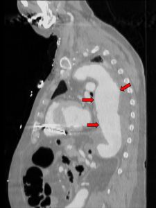
Aortenaneurysma: Neue Gefäßprothese soll Herzpatienten besser schützen18. Mai 2018 3-D-Druck-Modell eines Gefäßaneurysmas (weiß) und der Form der späteren Gefäßprothese (rot) in den Händen von Dr. Nikolaus Thierfelder, Herzchirurg. Klinik u. Poliklinik, Klinikum der LMU München. Foto: Andreas Steeger/Klinikum der LMU München Mediziner der Universitätsklinik München nutzen 3D-Druck-Technik für passgenauere Prothese bei Aortenaneurysma / Dr. Rusche-Projektförderung (60.000 Euro)Unbehandelt können sich aus Aneurysmen an der Aorta die höchst gefürchteten Dissektionen entwickeln – auch heute ein Notfall, der häufig tödlich endet. „Weil das erkrankte Gefäß ab einem bestimmten Durchmesser oder beim Auftreten von Beschwerden mit einer Prothese versorgt werden muss, sind auf diesem Gebiet Neuentwicklungen, die der Sicherheit und der Verbesserung der Lebensqualität der Betroffenen dienen, besonders wichtig“, betont Prof. Hellmut Oelert, Vorsitzender des Wissenschaftlichen Beirats der Deutschen Stiftung für Herzforschung (DSHF). Während der Eingriff früher nur mit Hilfe einer offenen Operation möglich war, lässt sich heute die Prothese in immer mehr Fällen katheterbasiert (minimalinvasiv) einsetzen. Es treten etwa 15 Fälle eines Aortenaneurysmas pro 100.000 Einwohner auf (Häufigkeitsgipfel im 6. und 7. Lebensjahrzehnt). Männer sind etwa 2- bis 4-mal häufiger als Frauen betroffen. Neue Prothese passt sich noch besser an die Gefäßanatomie des Patienten an Ein Forscherteam um den Herzchirurgen Dr. Nikolaus Thierfelder vom Klinikum der Ludwig-Maximilians-Universität München, Campus Großhadern, wird im Rahmen des mit rund 60.000 Euro geförderten Dr. Rusche-Forschungsprojektes* ein Verfahren entwickeln und testen, um künstliche Gefäßprothesen patientenindividuell herzustellen. „Unser Ziel ist es, durch die verbesserte Passgenauigkeit der Prothese die Komplikationsrate signifikant zu senken und gleichzeitig die Sicherheit für die Patienten zu erhöhen“, betont Thierfelder. Denn üblicherweise werden die Prothesen in bestimmten vorgefertigten Größen zur Verfügung gestellt, die der behandelnde Arzt nach Auswertung von Aufnahmen des erkrankten Gefäßes (z. B. Computertomographie) auswählt. „Dabei kann es vorkommen, dass die gewählte Prothese oft nicht ideal zur Anatomie des Patienten passt. Studien konnten zeigen, dass viele Komplikationen nach der Prothesenimplantation aus diesem Grund entstehen“, so Thierfelder. CT-Aufnahme eines Aortenaneurysmas. Quelle: Dr. Nikolaus Thierfelder/Klinikum der LMU München Komplikationen seien z. B. das Verrutschen der Prothese oder eine mangelnde Abdichtung an den Prothesenenden, die oft einen zusätzlichen medizinischen Eingriff erforderten. Als Grundlage zur patientenindividuellen Prothesenproduktion dienen CT- oder MRT-Aufnahmen, die im Zuge der Diagnostik vor dem Eingriff ohnehin gewonnen werden müssen. Plastisches 3D-Druck-Modell des erkrankten Gefäßes In einem mehrstufigen Prozess, können aus den Aufnahmen mit Hilfe einer spezialisierten Software anatomische Strukturen (z.B. das erkrankte Gefäß) definiert und freigestellt werden. Die erkrankten Stellen des Gefäßes werden ausgewählt, modifiziert und anschließend mit Hilfe eines 3D-Druckers als plastisches Modell hergestellt. Auf dieses Modell wird dann mit einem elektronischen Spinnverfahren („Elektrospinning“) eine dünne, faserige Polymerschicht aufgetragen. Die neu entwickelte patientenspezifische Prothese wird nicht nur aus einem Kunststoffschlauch wie bisherige Modelle, sondern auch aus einem form- und stabilitätsgebenden Drahtskelett bestehen. Dieses wird in einem separaten Prozess ebenfalls individuell geformt, um dann in den elektrogesponnenen Schlauch eingearbeitet zu werden. „Mit dem neuen Verfahren wollen wir die Prothesenherstellung im Vergleich zur bisherigen, manuellen Produktionsmethode nicht nur individueller, sondern auch ökonomischer, schneller und insbesondere sicherer machen“, so Thierfelder. *Titel: Entwicklung und automatisierte Herstellung von patientenindividuellen endovaskulären Gefäßprothesen mittels additiver Fertigung und Elektrospinning
Mehr erfahren zu: "Sensorik in OP-Sälen: Wie Roboter zu OP-Assistenten werden" Sensorik in OP-Sälen: Wie Roboter zu OP-Assistenten werden In einem mit Sensoren ausgestatteten Experimental-OP testen Forschende im TUM Klinikum den Einsatz von Robotern. Ziel ist es mittelfristig, Chirurgen im OP zu entlasten. Zudem sollen künftig die komplexen Daten […]
Mehr erfahren zu: "Mehr Hochrisikoplaques bei Menschen mit Fettleber" Mehr Hochrisikoplaques bei Menschen mit Fettleber Menschen mit Fettleber weisen offenbar eine höhere Menge an nicht verkalkten, rupturgefährdeten Koronarplaques und ein fast doppelt so hohes Risiko für kardiovaskuläre Ereignisse auf wie Menschen ohne Fettleber. Das zeigen […]
Mehr erfahren zu: "Vorhofflimmern: Rechter Herzvorhof stärker beteiligt als bislang angenommen" Vorhofflimmern: Rechter Herzvorhof stärker beteiligt als bislang angenommen Bislang stand beim Vorhofflimmern vor allem der linke Vorhof im Fokus der Aufmerksamkeit. Neue Forschungsergebnisse zeigen jedoch, dass sich bei anhaltendem Vorhofflimmern beide Herzvorhöfe tiefgreifend verändern.