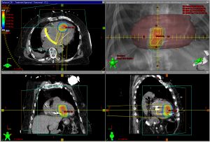
Erstmalig in Deutschland: Erfolgreiche Bestrahlungstherapie lebensbedrohlicher Herzrhythmusstörung10. Dezember 2018 Abb. 1: Mithilfe eines der weltweit modernsten Mappingsysteme wurde aus mehr als 10.000 Datenpunkten eine hochauflösende Darstellung der linken Herzkammer im elektrophysiologischen Labor erstellt, um so die Zielregion für die Bestrahlung zu identifizieren. Bild. © UKSH Als einer der ersten Patienten weltweit und als erster Patient in Deutschland konnte am 30. November 2018 ein 79-jähriger Mann mit lebensbedrohlichen und therapierefraktären Herzrhythmusstörungen mittels einer hochpräzisen einmaligen Bestrahlung erfolgreich behandelt werden. Die neuartige Behandlungsmethode wurde in enger Kooperation der Klinik für Innere Medizin III und der Klinik für Strahlentherapie am Universitätsklinikum Schleswig-Holstein (UKSH), Campus Kiel, durchgeführt. Der Patient leidet an einer schweren Herzmuskelerkrankung und erhielt trotz einer maximalen antiarrhythmischen medikamentösen Therapie von seinem implantierten Defibrillator fast täglich eine Schockabgabe. „Nach der erfolgreichen Bestrahlung sind die bösartigen Herzrhythmusstörungen bislang nicht wieder aufgetreten“, sagt Prof. Hendrik Bonnemeier, stellvertretender Klinikdirektor der Klinik für Innere Medizin III und Leiter der Abteilung für Elektrophysiologie und Rhythmologie. Gemeinsam mit dem Direktor der Klinik für Strahlentherapie, Prof. Jürgen Dunst, wurde dieser individuelle Heilversuch akribisch geplant und über ein halbes Jahr vorbereitet. „Die höchst innovative und zukunftsweisende Therapie ist ein sehr gutes Beispiel für die herausragende interdisziplinäre Kooperation am UKSH und zeigt das Potential universitärer Spitzenmedizin“, sagt Dunst. Zur Vorbereitung der Strahlenbehandlung erstellten Bonnemeier und OA Dr. Thomas Demming mittels eines der weltweit modernsten Mappingsysteme aus mehr als 10.000 Datenpunkten eine hochauflösende Darstellung der linken Herzkammer im elektrophysiologischen Labor, um so die Zielregion für die Bestrahlung zu identifizieren (s. Abb. 1). Abb. 2. Bild: © UKSH Anschließend wurde die gezielte Bestrahlung durch ein Team von Strahlentherapeuten und Medizinphysikexperten um OA Dr. David Krug und Prof. Dr. Frank-Andre Siebert geplant, berechnet und schließlich bei dem Patienten erfolgreich durchgeführt (Abb. 2). Die hochpräzise Bestrahlung zeigt eine neue, höchst innovative und möglicherweise wegweisende Therapieoption für bestimmte Patienten mit therapierefraktären ventrikulären Tachykardien auf. Eine prospektive Studie unter Leitung des UKSH Campus Kiel soll ab dem kommenden Jahr diese Methode bei betroffenen Patienten genauer untersuchen. Weitere Informationen: http://www.uksh.de/181207_pi_herzpatient_strahlenth.html
Mehr erfahren zu: "MitoCatch: Erkrankte Zellen mit gesunden Mitochondrien versorgen" MitoCatch: Erkrankte Zellen mit gesunden Mitochondrien versorgen Baseler Wissenschaftler haben das System MitoCatch entwickelt, das die gezielte Zufuhr gesunder Mitochondrien zu erkrankten Zelltypen ermöglicht. Diese Innovation könnte ein wichtiger Schritt in Richtung einer präzisen Mitochondrientherapie sein.
Mehr erfahren zu: "Typ-2-Diabetes und CKD: Metaanalyse vergleicht Wirksamkeit neuartiger Antidiabetika" Weiterlesen nach Anmeldung Typ-2-Diabetes und CKD: Metaanalyse vergleicht Wirksamkeit neuartiger Antidiabetika Eine aktuelle Metaanalyse aus China verdeutlicht: Neuartige Antidiabetika bieten Vorteile für Patienten mit Typ-2-Diabetes und gleichzeitiger chronischer Nierenkrankheit (CKD). Die optimale Intervention variiert jedoch je nach gewünschtem Behandlungsergebnis.
Mehr erfahren zu: "Limo, Tiefkühlpizza, Wurst – Für Kinder besonders schädlich?" Limo, Tiefkühlpizza, Wurst – Für Kinder besonders schädlich? Hochverarbeitete Lebensmittel wie Chips oder Wurst sind bei Kindern oft beliebt. Doch wer zu viel davon isst, kann dick werden. Fachleute erläutern, welche Folgen das noch haben kann.