Mehr erfahren zu: "Transkranielle Gleichstromstimulation bei Depression nicht wirksam" Transkranielle Gleichstromstimulation bei Depression nicht wirksam Die transkranielle Gleichstromstimulation (tDCS) wird in der Behandlung der Depression als einfach durchführbare und kostengünstige Alternative zur transkraniellen Magnetstimulation gepriesen. Zwei Studien hatten einen positiven Effekt nachgewiesen. Ein Münchner Forscherteam […]
Mehr erfahren zu: "Surfen gegen Depressionen" Surfen gegen Depressionen Eine Pilotstudie am Universitätsklinikum Freiburg zu Surftherapie bei Jugendlichen mit Depressionen zeigt erste positive Ergebnisse. Die alternative Behandlungsform soll in Deutschland etabliert werden.
Mehr erfahren zu: "Psychotherapie-Studie: Forschende suchen nach Weg aus chronischer Depression" Psychotherapie-Studie: Forschende suchen nach Weg aus chronischer Depression Das multizentrische Projekt ChangePDD vergleicht die Wirksamkeit von zwei unterschiedlichen Former der Psychotherapie bei chronischer Depression. Am Studienstandort Hannover werden noch Teilnehmer gesucht.
Mehr erfahren zu: "Wie Körper und Gehirn bei Angst zusammenspielen" Wie Körper und Gehirn bei Angst zusammenspielen Was passiert in unserem Gehirn, wenn wir Angst haben? Das Defense Circuits Lab am Uniklinikum Würzburg hat ein Rahmenkonzept erstellt, um die Ausprägung von Verhalten und körperlichen Anpassungen inklusive ihrer […]
Mehr erfahren zu: "Wie das Klinikum Nürnberg Depressionen rund um die Geburt aufspüren will" Wie das Klinikum Nürnberg Depressionen rund um die Geburt aufspüren will
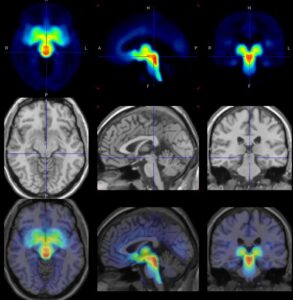
Mehr erfahren zu: "Depression vor den Tagen: Serotonin-Transport im Gehirn erhöht" Depression vor den Tagen: Serotonin-Transport im Gehirn erhöht
Mehr erfahren zu: "Zunahme von Depressionen bei Kindern und Jugendlichen durch Schulschließungen" Zunahme von Depressionen bei Kindern und Jugendlichen durch Schulschließungen Eine Studie des Bundesinstituts für Bevölkerungsforschung (BiB) zeigt, dass coronabedingte Schließungen mit einer Steigerung von Depressionssymptomen bei Kindern und Jugendlichen im Zusammenhang stehen. Dafür wurden 22 Studien aus acht Ländern […]
Mehr erfahren zu: "Ältere Asthmapatienten in der COVID-19-Pandemie: Mehr Depressionen" Ältere Asthmapatienten in der COVID-19-Pandemie: Mehr Depressionen Eine aktuelle, prospektive Studie mit älteren Erwachsenen in Kanada hat ergeben, dass Asthmapatienten in dieser Altersgruppe während der COVID-19-Pandemie einem hohen Depressionsrisiko ausgesetzt waren.
Mehr erfahren zu: "Tweets zu Suizidprävention können Suizide verhindern" Tweets zu Suizidprävention können Suizide verhindern Social-Media-Inhalte über die Prävention und Bewältigung von suizidalen Krisen können die Anzahl von Kontakten bei Hilfseinrichtungen erhöhen. Das zeigt eine Analyse von rund sieben Millionen Postings zu den Themen Suizid […]