Mehr erfahren zu: "Opiodeinsatz bei chronischen nicht-tumorbedingten Schmerzen" Opiodeinsatz bei chronischen nicht-tumorbedingten Schmerzen Die Deutsche Schmerzgesellschaft hat eine aktualisierte S3-Leitline zur Langzeitanwendung von Opioden bei chronischen, nicht tumorbedingten Schmerzen (LONTS) vorgelegt.
Mehr erfahren zu: "Wie viele Menschen wirklich Linkshänder sind" Wie viele Menschen wirklich Linkshänder sind Alle bisherigen Daten zur Händigkeit beruhten auf Schätzungen. Jetzt bringt eine Analyse sehr vieler Daten verlässliche Informationen.
Mehr erfahren zu: "ERC Advanced Grant für Schmerzforscher am UKE" ERC Advanced Grant für Schmerzforscher am UKE Wie entwickelt sich aus einem akuten Schmerz ein chronisches Leiden? Dieser Frage geht Prof. Christian Büchel, Schmerzforscher am Universitätsklinikum Hamburg-Eppendorf (UKE), in einem neuen Forschungsprojekt nach. Der Europäische Forschungsrat (ERC) […]
Mehr erfahren zu: "Leipziger Netzwerk begleitet transsexuelle Personen" Leipziger Netzwerk begleitet transsexuelle Personen Ein Netzwerk mit den verschiedensten medizinischen Fachbereichen ist am Universitätsklinikum Leipzig (UKL) für die Therapie von transgeschlechtlichen Personen aufgebaut worden.
Mehr erfahren zu: "Neue molekulare Sonden für Opioid-Rezeptoren" Neue molekulare Sonden für Opioid-Rezeptoren Für die Verbesserung der Schmerztherapie könnte es ein wichtiger Fortschritt sein: Dank neu entwickelter molekularer Sonden lässt sich das Verhalten einzelner Opioid-Rezeptoren jetzt sehr genau untersuchen.
Mehr erfahren zu: "Wärmeempfinden funktioniert anders als gedacht" Wärmeempfinden funktioniert anders als gedacht Damit ein Lebewesen Wärme wahrnehmen kann, braucht es Informationen aus einer überraschenden Quelle: den Kälterezeptoren. Eine Veröffentlichung widerlegt damit die Theorie, dass spezielle Nervenzellen entweder Wärme- oder Kältesignale an das […]
Mehr erfahren zu: "Stammzellen und Nerven interagieren bei der Krebsentwicklung" Stammzellen und Nerven interagieren bei der Krebsentwicklung Forscher der Universität Zürich zeigen, dass verschiedene Stammzelltypen auf unterschiedliche Weise mit Nerven versehen werden. Das Wachstum von Nerven könnte entscheidend dafür sein, dass sich Gewebe korrekt regenerieren. Aber auch […]
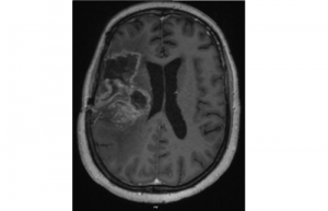
Mehr erfahren zu: "Neues Kontrastmittel erleichtert Frühdiagnose von Gehirnmetastasen" Neues Kontrastmittel erleichtert Frühdiagnose von Gehirnmetastasen Forscher des Leibniz-Forschungsinstituts für Molekulare Pharmakologie (FMP) haben einen Weg gefunden, Metastasen bestimmter Krebsarten im Gehirn mit möglichst wenig Kontrastmittel aufzufinden. Das Team nutzt dafür ein synthetisches Molekül, mit dessen […]
Mehr erfahren zu: "Neuer Ansatz bei Entzündungsschmerz" Neuer Ansatz bei Entzündungsschmerz Eine Forschungsgruppe der Charité – Universitätsmedizin Berlin hat einen neuen Mechanismus der langanhaltenden Schmerzbekämpfung entdeckt. Der Botenstoff Interleukin-4 veranlasst eine spezielle Klasse von Blutzellen am Entzündungsort, Opioide als körpereigene Schmerzstiller […]