Mehr erfahren zu: "Schädelform in 3D berechnen – Reduktion von Röntgenaufnahmen möglich" Schädelform in 3D berechnen – Reduktion von Röntgenaufnahmen möglich Ein neues mathematisches Modell des Schädels könnte in Zukunft dazu beitragen, bei medizinischen Untersuchungen des Kopfes mit wenigen oder sogar ganz ohne Röntgenaufnahmen auszukommen und so die Strahlenbelastung für Patientinnen […]
Mehr erfahren zu: "18-monatige Hormonentzugstherapie nach Bestrahlung kann bei Hochrisiko-Prostatakrebs ausreichen" 18-monatige Hormonentzugstherapie nach Bestrahlung kann bei Hochrisiko-Prostatakrebs ausreichen Eine Behandlungsoption bei Patienten mit fortgeschrittenen oder Hochrisiko-Prostatatumoren ohne Lymphknotenbefall oder Metastasen (cT3-cT4-Tumoren, PSA >20 ng/ml oder Gleason-Score ≥8), ist die Strahlentherapie mit Langzeit-Hormonentzugstherapie. Während die Strahlentherapie relativ gut vertragen […]
Mehr erfahren zu: "Kontroverser Jahresauftakt zur Uro-Onkologie" Kontroverser Jahresauftakt zur Uro-Onkologie Beim diesjährigen „Uro-Onkologischen Jahresauftakt“ am 11. und 12. Januar 2019 in Magdeburg diskutierten über 400 Urologen, Onkologen und Strahlenmediziner über Kontroversen in der Uro-Onkologie.
Mehr erfahren zu: "Hohe Rate benigner Befunde nach partieller Nephrektomie" Hohe Rate benigner Befunde nach partieller Nephrektomie Eine aktuelle Kohortenstudie aus den USA zeigt, dass durchgängig etwa 30 Prozent der partiellen Nephrektomien benigne Befunde ergaben – also nicht unbedingt hätten erfolgen müssen. Ein Faktor, der damit korreliert […]
Mehr erfahren zu: "Zertifizierung soll Qualität der Prostata-mpMRT verbessern" Zertifizierung soll Qualität der Prostata-mpMRT verbessern Mithilfe einer Spezialzertifizierung will die Deutsche Röntgengesellschaft (DRG) die Qualität der Prostata-Untersuchung per multiparametrischer Magnetresonanztomographie (mpMRT) verbessern.
Mehr erfahren zu: "Welt-Osteeoporosetag: IOF rät auf Warnzeichen der Wirbelsäule zu achten" Welt-Osteeoporosetag: IOF rät auf Warnzeichen der Wirbelsäule zu achten Am 20. Oktober ist Welt-Osteoporosetag. Anlässlich dessen weist die International Osteoporosis Foundation (IOF) – eingebettet im Rahmen einer mehrjährigen Sensibilisierungskampagne – auf die Problematik osteoporosebedingter Wirbelkörperfrakturen hin.
Mehr erfahren zu: "Entzündungen erkennen, bevor das Blutbild sie verrät" Entzündungen erkennen, bevor das Blutbild sie verrät Einem interdisziplinären Forscherteam der Universität Münster ist es nun gelungen, Entzündungen im MRT zu erkennen, bevor sie im Blut feststellbar sind.
Mehr erfahren zu: "MRT: Radiomics besser als qualitative Auswertung" MRT: Radiomics besser als qualitative Auswertung Bezüglich der Diagnose einer kompletten pathologischen Remission (pCR) bei Patienten mit lokal fortgeschrittenem Rektalkarzinom nach neoadjuvanter Radio-Chemo-Therapie (RCT), zeigten Radiomic-Analysen, die auf T2-gewichteter Bildgebung beruhten, im Vergleich zu einer qualitativen […]
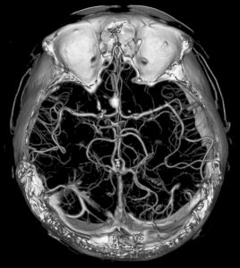
Mehr erfahren zu: "Hochauflösende MRT kann Eigenschaften der intrakraniellen Arteriendissektion darstellen" Hochauflösende MRT kann Eigenschaften der intrakraniellen Arteriendissektion darstellen Eine aktuell im „Clinical Neurophysiology“ erschienene Studie legt Forschungsergebnisse einer High-Resolution-Magnetresonanztomographie (HR-MRT) spontaner, unrupturierter intrakranieller Arteriendissektionen (ICAD) im chronischen Stadium vor. Laut der Autoren kann diese Untersuchung die charakteristischen morphologischen […]