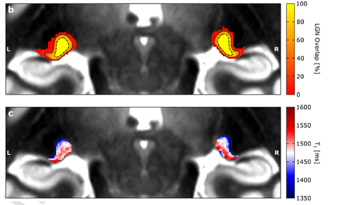
Hochauflösende MRT macht bisher verborgene Gebiete des menschlichen Gehirns sichtbar19. Oktober 2021 Foto: © Christa Müller-Axt Ein Team von Neurowissenschaftlern an der Technischen Universität Dresden hat eine neuartige, nichtinvasive bildgebungsbasierte Methode zur Untersuchung des visuell-sensorischen Thalamus entdeckt. Diese könnte in naher Zukunft ein vertieftes Verständnis der visuellen Sinnesverarbeitung ermöglichen. Der visuell-sensorische Thalamus ist eine wichtige Struktur des menschlichen Gehirns, die aus zwei Teilen besteht. Die Symptome vieler Krankheiten wie Legasthenie und Grüner Star werden mit Veränderungen in dieser Region in Verbindung gebracht. Bisher war es sehr schwierig, diese beiden Teile am lebenden Menschen zu untersuchen, da sie winzig sind und sich sehr tief im Inneren des Gehirns befinden. Diese Schwierigkeit, den visuell-sensorischen Thalamus im Detail zu untersuchen, hat das Verständnis über die Funktionsweise der visuellen Sinnesverarbeitung in der Vergangenheit stark beeinträchtigt. Christa-Müller Axt ist Doktorandin und beschäftigt sich in der Abteilung von Neurowissenschaftlerin Prof. Katharina von Kriegstein an der TU Dresden mit dem visuell-sensorischen Thalamus. Durch Zufall entdeckte die Doktorandin in Neuroimaging-Daten Strukturen, die den beiden visuell-sensorischen Thalamusteilen ähnelten. Die Neuroimaging-Daten waren einzigartig, da sie eine äußerst hohe räumliche Auflösung aufwiesen und mit einem speziellen Magnetresonanztomographen (MRT) am MPI-CBS in Leipzig aufgenommen wurden, wo von Kriegsteins Gruppe neurowissenschaftliche Studien zu Legasthenie durchführte. Müller-Axt verfolgte diese Entdeckung in einer Reihe weiterer Experimente, bei denen sie In-vivo- und Post-mortem-MRT-Daten mit hoher räumlicher Auflösung sowie post-mortem-Histologie analysierte. Die Ergebnisse zeigen, dass die zwei Teile des visuell-sensorischen Thalamus durch unterschiedliche Mengen an Myelin gekennzeichnet sind. Diese Information lässt sich in den neuartigen MRT-Daten erkennen und kann somit zur detaillierten Untersuchung des visuell-sensorischen Thalamus beim lebenden Menschen verwendet werden. Das obere Feld zeigt die Lage des visuell-sensorischen Thalamus in den hochauflösenden MRT-Daten. Je gelber die Farbe, desto mehr Teilnehmende haben den visuell-sensorischen Thalamus an dieser Stelle. Das untere Feld zeigt, dass Informationen über die Menge der weißen Substanz verwendet werden können, um die beiden Teile des visuellen Thalamus zu unterscheiden. (Abb.:© CC BY-NC) “Die Erkenntnis, dass wir die Teile des visuell-sensorischen Thalamus bei lebenden Menschen darstellen können, ist fantastisch. In naher Zukunft kann man damit die visuell-sensorische Verarbeitung sowohl bei gesunden, als auch bei kranken Menschen untersuchen”, sagt Müller-Axt und erklärt: “Post-mortem-Studien bei Legasthenie haben gezeigt, dass es speziell in einem der beiden Teile des visuell-sensorischen Thalamus strukturelle Veränderungen gibt. Jedoch gibt es nur sehr wenige dieser Post-mortem-Untersuchungen, weswegen es schwierig ist zu sagen, ob alle Legastheniker diese Art von Veränderungen im visuell-sensorischen Thalamus aufweisen. Außerdem können Post-mortem-Daten nichts über die funktionellen Auswirkungen dieser Veränderungen und ihren spezifischen Beitrag zu den Entwicklungssymptomen der Legasthenie aussagen. Daher erwarten wir, dass unser neuartiger In-vivo-Ansatz die Forschung über die Rolle des visuell-sensorischen Thalamus bei Legasthenie erheblich erleichtern und vorantreiben wird.” Originalpublikation: Müller-Axt C et al. Mapping the human lateral geniculate nucleus and its cytoarchitectonic subdivisions using quantitative MRI. NeuroImage 2021;244:118559.
Mehr erfahren zu: "ESTRO 2026: ctDNA verbessert die Überwachung unter Metastasen-gerichteter Therapie" ESTRO 2026: ctDNA verbessert die Überwachung unter Metastasen-gerichteter Therapie Eine Analyse der Phase-II-Studie EXTEND zeigt, dass ctDNA-Tests neue Erkenntnisse über das Therapieansprechen bei Patienten lieferten, die eine Metastasen-gerichtete Therapie erhielten.
Mehr erfahren zu: "Teamwork von Ohr und Gehirn: Warum Geräusche stören oder beruhigen" Teamwork von Ohr und Gehirn: Warum Geräusche stören oder beruhigen Das Meeresrauschen oder der Wind in den Bäumen werden angenehmer empfunden als ein Martinshorn oder eine laute Unterhaltung im Zug. Warum man Geräusche unterschiedlich wahrnimmt und was Töne mit dem […]
Mehr erfahren zu: "Neues KI-Modell bildet menschliche Aufmerksamkeit nach" Neues KI-Modell bildet menschliche Aufmerksamkeit nach Ein internationales Forschungsteam hat ein KI-Modell entwickelt, das zentrale Mechanismen visueller Aufmerksamkeit nachbildet. Die künstliche Intelligenz reproduziert dabei psychologische und neurophysiologische Effekte, ohne dass diese explizit programmiert wurden.