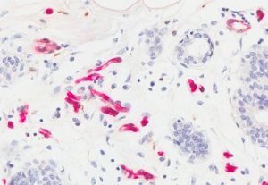
Möglicher Mechanismus für Zusammenhang zwischen Adipositas und Brustkrebs beschrieben13. April 2020 Starke Expression von Fettfettsäurebindungsprotein (FABP4) in Brustdrüsen, rot dargestellt. (Foto: © Universität von Louisville) Es ist allgemein anerkannt, dass höhere Körperfettwerte das Risiko für die Entwicklung von Brustkrebs und anderen Krebsarten erhöhen. Einer aktuellen Veröffentlichung zufolge soll von Fettzellen abgesondertes Protein die Entwicklung von Brustkrebs fördern. In seiner kürzlich veröffentlichen Arbeit berichtet der Mikrobiologe und Immunologe Bing Li vom James Graham Brown Cancer Center an der University of Louisville über diesen von ihm beobachteten Zusammenhang. Li führt seit fünf Jahren vom National Cancer Institute finanzierte Forschungen durch, die ihn auf die Spur einer möglichen Verbindung zwischen der Aktivität eines im Fettgewebe exprimierten Proteins und einer Zunahme in der Entstehung von Brustkrebs führten. In seinem aktuellen Artikel beschreibt Li seine Theorie, dass das Protein FABP4 (fatty acid binding protein), das im Fettgewebe exprimiert wird, für das Wachstum von Tumoren in der Brust verantwortlich ist. „Viele Krebsarten stehen im Zusammenhang mit Fettleibigkeit, nicht nur Brustkrebs“, betont Li. „Mehr als 13 Krebsarten sind eindeutig mit Adipositas verbunden, und ich denke, die Liste wird länger und länger werden, sobald wir mehr Daten haben. In unseren Untersuchung haben wir festgestellt, dass die Fettsäurebindungsprotein-Familie, insbesondere das Mitglied FABP4, eine sehr wichtige Rolle bei der Assoziation von Fettleibigkeit und Krebs spielt, insbesondere Brustkrebs. Wir stellen die Theorie auf, dass FABP4 für den zugrunde liegenden molekularen Mechanismus verantwortlich ist, der die Entwicklung von Brustkrebs im Zusammenhang mit Adipositas fördert.“ Fettgewebe im Körper produziert FABP4 in Fettzellen, wo es wasserunlösliche langkettige Fettsäuren verarbeitet und verteilt. Eine bestimmte Menge FABP4 gelangt unter normalen Bedingungen in den Blutkreislauf. Wenn sich jedoch ein höheres Volumen an Fettgewebe ansammelt, wird mehr FABP4 in den Kreislauf ausgeschieden. „Normalerweise befinden sich diese Moleküle in den Zellen, aber wenn Menschen adipös sind, befinden sich die Moleküle außerhalb“, erklärt Li. Seine Theorie bietet zwei Möglichkeiten, wie FABP4 das Wachstum von Brustkrebstumoren stimulieren kann. Erstens steigt FABP4 innerhalb der Zellen in bestimmten Tumor-assoziierten Makrophagen an. Lis Forschung ergab auch, dass bei Hemmung von FABP4 das Tumorwachstum in Tiermodellen verringert wird, obwohl das Fettgewebe erhalten bleibt. Zweitens fördert das Protein die Entwicklung von Brustkrebs durch direkte Interaktion mit Brustkrebszellen, wenn erhöhte FABP4-Spiegel bei Fettleibigkeit außerhalb der Fettzellen zirkulieren. In der Versuchen an Tieren waren die Entwicklung und das Wachstum von Brusttumoren bei adipösen Tieren, bei denen FABP4 unter Kontrolle war, verringert. Darüber hinaus scheint FABP4 im Blutkreislauf in mehreren Mechanismen zu wirken, die Wechselwirkungen zwischen Tumorkomponenten und Fettzellen und dadurch die Krebsentwicklung fördern. Darüber hinaus hat Lis Forschungsgruppe kürzlich Ergebnisse veröffentlicht, die zeigen, dass verschiedene Arten fettreicher Ernährung unterschiedliche Auswirkungen auf die Tumorentwicklung haben. Eine fettreichen Ernährung, die viel Kakaobutter oder Fischöl enthält, führt zu fettbedingter Adipositas. Die Ernährung mit viel Kakaobutter hat jedoch ein erhöhtes Wachstum von Brusttumoren zur Folge, während dies bei einer Ernährung, die viel Fischöl beinhaltet, nicht der Fall ist. Diese Studie bestätigt laut ihren Autoren nicht nur die entscheidende Rolle von FABP4 bei mit Fettleibigkeit assoziiertem Krebs, sondern zeigt auch, dass nicht jede Fettleibigkeit die Entwicklung von Tumoren fördert. Li und sein Team glauben, dass ein besseres Verständnis der Wirkungsweise von FABP4 sowohl in Makrophagen als auch im Blutkreislauf Möglichkeiten bieten könnte, das Voranschreiten bestimmter Brustkrebsarten zu verhindern. Es könne auch zur Entwicklung von Behandlungsmethoden führen, die auf FABP4 mit Arzneimitteln oder spezifischen Antikörpern abzielen. „Jetzt versuchen wir, einige Antikörper für dieses Protein zu generieren, was eine sehr effektive Therapiestrategie für Krebs im Zusammenhang mit Fettleibigkeit sein könnte“, sagt Li.
Mehr erfahren zu: "Oligometastatischer Krebs: Neue Endpunkte für Krebsstudien definiert" Oligometastatischer Krebs: Neue Endpunkte für Krebsstudien definiert Eine internationale Expertengruppe unter Leitung des Comprehensive Cancer Center (CCC) von MedUni Wien und AKH Wien hat Messgrößen für klinische Studien bei Krebserkrankungen mit vereinzelten Metastasen festgelegt.
Mehr erfahren zu: "Fallstudie: Ovarialkarzinom als Beckenabszess fehlinterpretiert" Fallstudie: Ovarialkarzinom als Beckenabszess fehlinterpretiert Ein aktueller Fallbericht zeigt, wie ein muzinöses Ovarialkarzinom bei einer postmenopausalen Patientin zuerst als Beckenabszess interpretiert wurde, was Diagnose und Behandlung verzögerte.
Mehr erfahren zu: "InfraRed Molecular Fingerprinting: Neuer Weg zur Krebsfrüherkennung" InfraRed Molecular Fingerprinting: Neuer Weg zur Krebsfrüherkennung Mithilfe der Infrarotspektroskopie wollen Münchner Forschende die Früherkennung von Krebs anhand einer Blutprobe ermöglichen. Die Entwicklung des sogenannten „InfraRed Molecular Fingerprinting“ wird nun von der Wilhelm Sander-Stiftung gefördert.