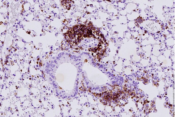
Stammzelltransplantation: Wie T-Zellen der Haut andere Organe schädigen können14. Oktober 2021 Laura Marie Gail, Georg Stary und Johanna Strobl (©Laura Alvarez / CeMM). Mehr als 40.000 allogene hämatopoetische Stammzelltransplantationen werden weltweit jährlich durchgeführt, zumeist bei Betroffenen von Leukämie oder mit anderen Erkrankungen des blutbildenden Systems. Sehr häufig kommt es dabei zur Spender-gegen-Empfänger-Reaktion, die unterschiedliche Organe betreffen kann Wissenschaftlerinnen und Wissenschaftler am CeMM Forschungszentrum für Molekulare Medizin der Österreichischen Akademie der Wissenschaften, der Medizinischen Universität (MedUni) Wien und des Ludwig Boltzmann Institute for Rare and Undiagnosed Diseases (LBI-RUD) in Wien (Österreich) unter der Leitung von Dr. Georg Stary zeigen nun, wie diese körpereigenen, gewebsständigen T-Zellen über das Blut in andere Organe, beispielsweise den Darm, kommen und dort zur Entzündung beitragen. Die Studie liefert wichtige Ansätze für eine bessere Therapie bei Stammzelltransplantation und neue Diagnosemöglichkeiten. Stammzelltransplantationen stellen vor allem bei Leukämie-Patientinnen und -Patienten eine wichtige, lebensnotwendige Behandlungsmethode dar. Dabei werden erst durch Chemotherapie und Bestrahlung sämtliche Blutzellen des betroffenen Patienten bzw. der Patientin abgetötet, um dann durch gesunde Knochenmarks- oder Blutstammzellen eines Spenders ersetzt zu werden. Bei rund der Hälfte der Patientinnen und Patienten kommt es nach der Transplantation zu entzündlichen Hauterkrankungen mit schwerwiegenden Folgen. T-Zellen-vermittelte Abstoßungsreaktionen sind eine der Haupttodesursachen nach hämatopoetischer Stammzelltransplantation. In einer vorausgehenden Studie konnte ein Team aus Forscherinnen und Forschern um den Dermatologen Stary am CeMM, der MedUni Wien sowie dem LBI-RUD bereits einen Mechanismus identifizieren, der Auslöser für diese Spender-gegen-Empfänger-Reaktion (Graft-versus-host disease, GVHD) ist. In Hautproben von Patientinnen und Patienten im Verlauf der Transplantation konnte Stary damals gemeinsam mit Studienautorin Johanna Strobl (MedUni Wien) zeigen, dass T-Zellen der Empfänger im Gewebe der Haut überleben und für die entzündlichen Reaktionen verantwortlich sind. Gewebeansässige T-Zellen der Haut wandern ins Blut In ihrer aktuellen Studie zeigen Strobl und Koautorin Laura Marie Gail (CeMM/LBI-RUD) mithilfe des neu entwickelten Modells nun, dass diese gewebsständigen T-Zellen der Haut bei stammzelltransplantierten Menschen im Blut wiederzufinden sind. „Durch die Abwanderung der entzündlichen, gewebsständigen T-Zellen der Haut in den Blutkreislauf besteht das Risiko, die Hautentzündung auch in andere Organe weiterzutragen. Besonders im Darm, der häufig von GVHD betroffen ist, konnten wir erstaunlich viele Zellen finden, die ursprünglich aus der Haut kamen“, so die Studienautorinnen. Deaktivierung der T-Zellen möglicher Ansatz zur Therapieverbesserung Für ihre Studie untersuchten Strobl, Gail und Stary im Blut zirkulierende T-Zellen anhand von Proben stammzelltransplantierter Patientinnen und Patienten. Durch eine besondere Tracking-Methode konnten die Forschenden genau unterscheiden, welche T-Zellen vom Spender und welche von der Patientin bzw. dem Patienten selbst waren. Forschungsgruppenleiter Stary erklärt: „Nachdem durch die Chemotherapie bereits alle Blutzellen abgetötet waren, konnten wir darauf schließen, dass die entdeckten T-Zellen nur aus dem Gewebe kommen können. Anhand verschiedenster Marker ließen sich diese bis zur Haut zurückverfolgen.“ Die Studie gibt wichtige Hinweise darauf, wie Hauterkrankungen und in weiterer Folge auch Entzündungen in anderen Organen nach Stammzelltransplantationen vermieden werden können. Ein Ansatz könnte sein, die gewebeansässigen T-Zellen im Körper vor einer Transplantation zu deaktivieren. Blutprobe statt Biopsie Die Studie gibt zudem Hinweise auf einen weiteren wichtigen diagnostischen Aspekt: Die Autorinnen und Autoren konnten beobachten, dass die zirkulierenden T-Zellen bei stammzelltransplantierten Menschen je nach Krankheitsbild vermehrt im Blut nachweisbar sind. Dementsprechend ist vorstellbar, bei Haut- oder Gewebserkrankungen statt der aufwendigen und oft unangenehmen Probenentnahme der betroffenen Stelle eine Blutanalyse durchzuführen und den Phänotyp der T-Zellen im Blut, die ursprünglich aus der Haut kamen, auszuwerten. „Dieser Vorgang wäre eine Art Liquid Biopsy bei Entzündungsreaktionen im Gewebe“, so die Studienautorinnen und -autoren.
Mehr erfahren zu: "Mit Bewegung und Ibuprofen gegen das Chemobrain" Mit Bewegung und Ibuprofen gegen das Chemobrain Bewegung und Ibuprofen können laut einer aktuellen Phase-II-Studie – einzeln oder in Kombination – die kognitive Funktion von Patienten unter Chemotherapie verbessern.
Mehr erfahren zu: "Ovarial-/Endometriumkarzinom: ADC gegen B7-H4 vielversprechend" Weiterlesen nach Anmeldung Ovarial-/Endometriumkarzinom: ADC gegen B7-H4 vielversprechend Positive Daten zu einem neuartigen, gegen B7-H4 gerichteten Antikörper-Wirkstoff-Konjugat präsentierte das britische Pharmaunternehmen GSK am 12. April im Rahmen einer Late-Breaking-Session auf der Jahrestagung der Society of Gynecologic Oncology (SGO) […]
Mehr erfahren zu: "Estradiol-Pflaster gleichwertig zu LHRH-Agonisten bei lokal fortgeschrittenem Prostatakrebs" Weiterlesen nach Anmeldung Estradiol-Pflaster gleichwertig zu LHRH-Agonisten bei lokal fortgeschrittenem Prostatakrebs Zur Androgenentzugstherapie bei lokal fortgeschrittenem Prostatakrebs hat sich die transdermale Verabreichung von Estradiol gegenüber LHRH-Agonisten als nicht unterlegen erwiesen. Dies gilt sowohl für die Überlebensergebnisse als auch für die Testosteronsenkung. […]