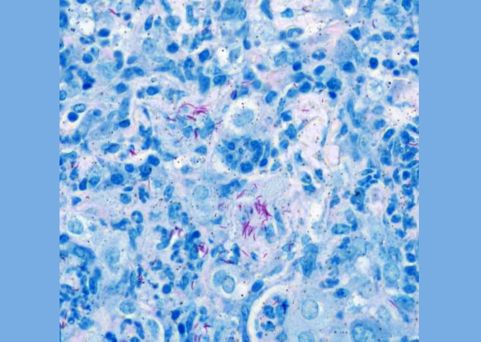
Tuberkulosebakterien stellen sich tot, um einer Impfung zu entkommen21. Juli 2025 „Eine bessere Prävention ist dringend erforderlich, denn Therapie allein wird der Ausbreitung der TB nicht Einhalt gebieten“, sagt Amanda Martinot, außerordentliche Professorin an der Cummings School of Veterinary Medicine der Tufts University. (Foto: © Jake Belcher, Tufts University) Ein Impfstoff schützt jährlich mehr als 100 Millionen Kinder vor einer schweren Tuberkulose (TB), einschließlich vor der tödlichen Hirnschwellung bei Babys und Kleinkindern. Das Vakzin verhindert aber bei Erwachsenen nicht die häufigere Lungen-TB. Damit bleibt die TB die tödlichste Infektionskrankheit weltweit, mit 1,25 Millionen Toten pro Jahr. Der existierende TB-Impfstoff ruft laut den meisten Studien, in denen sich Forschende damit beschäftigt haben, eine starke Reaktion des Immunsystems hervor. Da die Standardmaße für Immunität nicht den Schutz im Erwachsenenalter vorhersagen, versuchte eine Gruppe von US-Wissenschaftlern einen anderen Ansatz: Sie wollten untersuchen, wie das TB-Bakterium dem Immunsystem entkommt, das darauf ausgerichtet ist, den Erreger zu zerstören. Ihre genetische Untersuchung an Mäusen zeigt: TB-Bakterien können sich gewissermaßen totstellen, um dem Immunsystem zu widerstehen. Die Forschenden von der Cummings School of Veterinary Medicine an der Tufts University, der University of Utah, der Harvard T.H. Chan School of Public Health und der Texas A&M University (alle USA) haben ihre Ergebnisse kürzlich in „npj Vaccines“ veröffentlicht. Bessere Therapien helfen nicht, wenn die Prävention versagt „Es gibt einen dringenden Bedarf an besserer Prävention, weil eine bessere Therapie allein die Ausbreitung der TB nicht aufhalten wird“, unterstreicht Prof. Amanda Martinot von der Cummings School, eine der Seniorautorinnen der Veröffentlichung. „Als vor mehr als 60 Jahren Medikamente zur Behandlung der TB verfügbar wurden, kam es weltweit zu einem dramatischen Rückgang der Fälle. Doch mit der HIV-Epidemie kam die TB zurück und erweist sich inzwischen immer mehr als gegenüber herkömmlichen Antibiotika resistent. Jetzt, wo nur eine Handvoll neuerer Medikamente für die Therapie verfügbar ist, ist sie viel schwieriger zu heilen.“ Während andere Atemwegsinfektionen wie die Grippe oder COVID-19 von Viren hervorgerufen werden, die häufig mutieren und damit ständig neue Vakzine nötig machen, wird TB von einem genetisch sehr stabilen Bakterium verursacht: Mycobacterium tuberculosis. Theoretisch sollte es also ein Leichtes sein, die Erkrankung mit einer Impfung zu verhindern. Untersuchungen an vier Gruppen von Mäusen mit unterschiedlichem Immunstatus Für ihre Studie bedienten sich die Autoren der Transposon-Insertions-Sequenzierung (TnSeq). Das Ziel: In vier Gruppen von Mäusen diejenigen Gene zu identifizieren, die für das Überleben des TB-Bakteriums in den Versuchstieren unabdingbar sind. Die erste Gruppe von Mäusen wurde mit dem bereits existierenden Vakzin geimpft, das vor mehr als 100 Jahren anhand der TB-Form entwickelt wurde, die bei Kühen auftritt. Die zweite Gruppe der Versuchstiere erhielt ein experimentelles Vakzin. Dieses basiert auf der TB beim Menschen und rief in einer präklinischen Studie eine stärkere Reaktion des Immunsystems hervor als der bisher einzige zugelassene Impfstoff. Die dritte Gruppe von Mäusen hatte Kontakt mit TB-Bakterien gehabt und war durch den Einsatz eines Antibiotikums geheilt worden. Die Kontrollgruppe schließlich hatte niemals TB gehabt und war auch nie geimpft worden. Die Wissenschaftler erwarteten, wichtige Gene zu finden, die nötig sind, damit TB in einem geimpften Wirtskörper überlebt. Tatsächlich stießen sie auch auf einige, bei denen sich eine weitere Untersuchung im Hinblick auf die Möglichkeit einer Impfstoffentwicklung lohnen würde. Die größere Überraschung aber war, welche Gene das Bakterium nach einer Vakzinierung oder Infektion nicht brauchte. Martinot berichtet: „Wir waren sehr überrascht festzustellen, dass bestimmte Gene, die normalerweise wichtig für ein rasches Bakterienwachstum und die Verursachung einer schweren TB-Infektion sind, keine so große Bedeutung haben, wenn das Bakterium jemanden infiziert, bei dem es bereits zu einer Reaktion des Immunsystems gekommen ist – sei es durch eine erfolgte Impfung oder einen vorangegangenen Infekt.“ Bakterium versteckt sich vor dem Immunsystem Die Forschenden stellten stattdessen fest, dass die TB-Bakterien ihre Strategie zu verändern scheinen. Dabei bedienen sie sich verschiedener Gene, die ihnen helfen, mit Stress umzugehen und in einer für sie feindlichen Umgebung das Wachstum einzustellen. „Wir vermuten, dass das Bakterium seine Aktivitäten herunterfährt und sich still verhält, bis die Immunantwort schwächer wird – durch die nachlassende Wirkung einer Impfung, durch HIV oder eine andere Erkrankung“, erklärt Prof. Allison Carey von der University of Utah, ebenfalls Seniorautorin der Arbeit. Dieses Wissen könnte Forschenden bei der Entwicklung von Therapien unterstützen, die parallel zu einer Impfung dazu beitragen könnten, das TB-Bakterium auszurotten, obwohl es sich zu verstecken versucht. Tuberkulosebakterien erscheinen rot in einem Lungengranulom einer Maus, die mit Mycbacterium tuberculosis infiziert ist. Eine neue genetische Untersuchung des Bakteriums bei Mäusen gibt Aufschluss darüber, warum TB trotz eines existierenden Impfstoffes, der eine starke Immunreaktion hervorruft, immer noch jährlich 1,25 Millionen Menschen tötet. (Foto: © Amanda Martinot) Das Forscherteam fand außerdem heraus, dass unterschiedliche Vakzine oder die Art und Weise ihrer Verabreichung zu einer Veränderung führen können, welche Gene das TB-Bakterium für sein Überleben braucht. Dies zeigt nach Auffassung der Wissenschaftler, dass verschiedene Impfstoffe unterschiedlichen Druck auf das Bakterium ausüben können. Auch dieser Umstand könnte zu innovativen, effektiveren Kombinationen aus einer Impfung und einem Booster führen. „Dieser Erreger ist unglaublich gut darin, das Immunsystem zu überleben“, fasst Martinot zusammen und ergänzt: „Es infiziert Menschen seit der Zeit des alten Ägypten. Es sind weitere Studien nötig, damit wir TB schlussendlich überlisten und den aktuellen globalen Notfall überwinden.“
Mehr erfahren zu: "„Seriosität, wie wir sie von Hütchenspielern kennen“" „Seriosität, wie wir sie von Hütchenspielern kennen“ Bei einer kurzfristig anberaumten gemeinsamen Pressekonferenz in Berlin haben die Deutsche Krankenhausgesellschaft (DKG) und die Kassenärztliche Bundesvereinigung (KBV) scharfe Kritik an der Bundesregierung geübt. Sie bemängelten zum einen den Referentenentwurf […]
Mehr erfahren zu: "Mit Bewegung und Ibuprofen gegen das Chemobrain" Mit Bewegung und Ibuprofen gegen das Chemobrain Bewegung und Ibuprofen können laut einer aktuellen Phase-II-Studie – einzeln oder in Kombination – die kognitive Funktion von Patienten unter Chemotherapie verbessern.
Mehr erfahren zu: "KI und Roboter statt Menschen: Vollautomatisiertes Labor im KIWI Biolab" KI und Roboter statt Menschen: Vollautomatisiertes Labor im KIWI Biolab Ein Labor ohne Menschen? An der TU Berlin ist das Realität. Ein vollautomatisiertes Labor führt mithilfe von Künstlicher Intelligenz und verschiedenen Robotern eigenständig Versuche und Analysen durch. Das KIWI Biolab […]