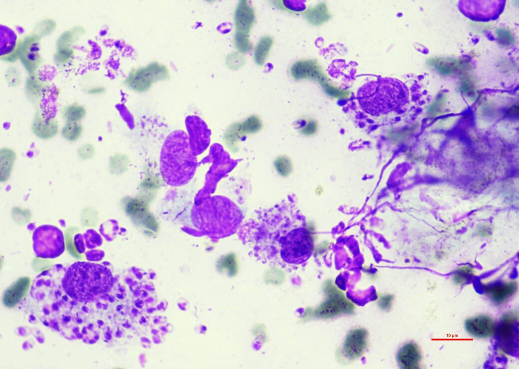
Vektorübertragene Erkrankungen bei der Katze10. Februar 2025 Dr. Jennifer von Luckner und Dr. Ingo Schäfer Fotos: © Schäfer/von Luckner Interview mit Dr. Jennifer von Luckner und Dr. Ingo Schäfer Dr. Jennifer von Luckner hat Veterinärmedizin an der TiHo Hannover studiert und an der Universität Leipzig zum Thema „Reisekrankheiten beim Hund“ promoviert. Sie ist Diplomate des European College of Veterinary Internal Medicine. Nach Aufenthalten in Australien und England ist von Luckner seit 2020 als Fachtierärztin für Innere Medizin in der Tierklinik Ahlen tätig. Zusätzlich betreut sie bei Laboklin die in- und externe Ausbildung. Dr. Ingo Schäfer studierte Veterinärmedizin in Budapest und an der FU Berlin, wo er über vektor übertragene Infektionserreger beim Hund promovierte. Den „Master of Small Animal Science“ hat er mit einer Arbeit über Anaplasma phagocytophilum bei Katzen abgeschlossen. Seit 2019 ist Schäfer als Tierarzt in der Abteilung für klinische Labordiagnostik bei Laboklin tätig, 2021 begann er eine Residency im Bereich der klinischen Pathologie (ECVCP). Seine Schwerpunkte sind vektorübertragene sowie immunbedingte Erkrankungen bei Hunden und Katzen. Von Luckner und Schäfer sind häufig angefragte Referenten auf tierärztlichen Kongressen und Fortbildungen. Herr Dr. Schäfer, Sie forschen zu vektorübertragenen Krankheiten bei mehreren Tierarten. In einer Studie mit Straßenkatzen in Thüringen konnten Sie zeigen, dass VBDs bei Katzen in Deutschland weitaus häufiger sind als bisher angenommen. Welche Erreger konnten Sie nachweisen? Und welche Ursachen für das hohe Aufkommen konnten Sie erruieren? Straßenkatzen sind dahingehend interessant, dass sie meist nicht unter veterinärmedizinischer Kontrolle stehen und in der Regel keine Prophylaxe gegen Zecken oderandere Vektoren erhalten. Wir konnten mittels PCR hauptsächlich hämotrope Mykoplasmen (12%) und Anaplasma phagocytophilum (4 %) nachweisen. Der positive Erregernachweis mittels PCR spricht für eine akute Infektion. Die Nachweisrate bei den Anaplasmen deckt sich mit der Nachweisrate bei Katzen und Hunden, die in der Obhut von Menschen leben. Antikörper haben wir gegen Bartonellen bei 46 %, gegen Rickettsien bei 30 % und gegen Anaplasmen bei 16 % gefunden. Ein positiver Antikörpertiter zeigt einen Erregerkontakt in der Vergangenheit: Antikörper können somit einen gewissen Überblick über das generelle Infektionsrisko geben. Interessanterweise haben alle 3 Erreger zoonotisches Potenzial. Frau Dr. von Luckner, ein Freigänger kann sich auf seinen Streifzügen somit durchaus VBDs einfangen. Welche halten Sie für am relevantesten? In Deutschland ist aktuell sicherlich A. phagocytophilum, übertragen durch Ixodes ricinus, am bedeutendsten. Auch die hämotropen Mykoplasmen sind relevant, hier gilt vor allem Mycoplasma haemofelis als pathogen, während andere Spezies sicherlich nur bei Ko-Infektionen oder Immunsuppression eine Rolle spielen. Es wird davon ausgegangen, dass Flöhe und Zecken, vermutlich auch Läuse, zur Übertragung befähigt sind. Erkranken Katzen häufig klinisch an den genannten Erkrankungen? Welche Symptome sollten den Tierarzt hellhörig machen? Die Studienlage hierzu ist sehr überschaubar und die meisten Erfahrungswerte stammen aus Einzelfallberichten. Generell geht man davon aus, dass die Katze im Vergleich zum Hund eine eher T-Zell-vermittelte (zelluläre) Immunität aufweist. Dies könnte dazu führen, dass Katzen häufig subklinisch mit vektorübertragenen Erregern infiziert sind und als Erregerreservoire fungieren. Wenn klinische Erkrankungen auftreten, sind vorrangig unspezifische klinische Symptome wie Fieber, Inappetenz und Lethargie beschrieben. Das macht die Diagnostik vonVBDs bei Katzen spannend. Hellhörig sollte man werden, wenn zusätzlich zu den oben beschriebenen Veränderungen hämatologisch Zytopenien und biochemisch geringgradige Hyperglobulinämien vorhanden sind. Dann unbedingt auch auf FeLV (Felines Leukämie Virus) und FIV (Felines Immundefizienz-Virus) testen. In Bezug auf Infektionen mit A. phagocytophilum sind interessante Parallelen zu Hunden und anderen Spezies zu beobachten, welche sind das? Das ist richtig, interessanterweise führen Infektionen mit A. phagocytophilum sowohl bei Hunden, Katzen, Pferden, als auch Menschen zu ähnlichen klinischen Verläufen und hämatologischen Veränderungen. Im Mittelpunkt stehen hier Fieber sowie eine Throbombozytopenie unterschiedlicher Schweregrade. Zur felinen granulozytären Anaplasmose haben Sie, Herr Dr. Schäfer, zusammen mit Frau Prof. Kohn von der FU Berlin, ein Literatur-Review zu Epidemiologie, Pathogenese, Diagnostik, klinischen Symptomen und Therapie durchgeführt. Wann sollte eine Infektion mit A. phagocytophilum auf der Liste der Differentialdiagnosen bei der Katze stehen? Bei jeder Katze mit Freigang, Fieber und Thrombozytopenie. Auch andere Zytopenien oder gar Panzytopenie können auftreten. Optimalerweise wird auch von Zeckenkontakt in der jüngeren Vergangenheit berichtet, allerdings könnte dies auch verpasst worden sein. Doxycyclin ist das Antibiotikum der Wahl in der Therapie der Anaplasmose, welche Dosierung hat sich bewährt und wie viele Tage ist das Medikament mindestens zu verabreichen? Gibt es Unterschiede zum Hund? Doxycyclin wird zur Therapie von Infektionen mit A. phagocytophilum und den hämotropen Mykoplasmen beispielsweise empfohlen. Das Antibiotikum wirkt intrazellulär und kann daher auch die intrazellulären Erreger erreichen. Bei den Katzen werden 10 mg/kg 1-mal täglich empfohlen. Die Tabletten sollten mit Futter und/oder Wasser verabreicht werden, um eine Ösophgagitis und Ösophagusstrikturen zu vermeiden, die bei Hunden jedoch nicht auftreten. Betrachtet man Ihre Studienergebnisse für Deutschland, fällt ins Auge, dass im Saarland eine überraschend hohe Zahl an Katzen Hepatozoon-positiv in der PCR ist. Sind die Tierärzte dort so stark sensibilisiert oder wie erklären Sie sich diesen Umstand? Wo sind weitere „Hochburgen“ und warum?Stimmt, interessanterweise ist das Saarland auch eine Hochburg für einen bekannten protozoären Erreger bei Hunden, Babesia canis. Bei den Katzen ist die Datenlage jedoch aktuell so dünn, dass vernünftige Rückschlüsse kaum möglich sind. Auch ist der Vektor und die Pathogenese bei Katzen bisher vollkommen unbekannt, so dass wir hier zukünftig noch viel Forschungsbedarf haben. Welche Symptome verursacht Hepatozoon bei Katzen? Bei Katzen kommen 3 verschiedene Hepatozoon Spezies vor: H. felis, H. silvestris und H. canis. Wir haben bei importierten Katzen, die in Deutschland leben, hauptsächlich H. felis nachgewiesen. Meist verlaufen Infektionen subklinisch und die Katzen fungieren als Erregerreservoir. Eine meist subklinisch verlaufende, generalisierte oder mykokardiale Myokarditis scheint typisch zu sein. Es gibt aber auch Fallberichte über fieberhafteVerläufe und auch eine tödlich verlaufende Mykokarditis wurde publiziert. Hämatologisch sind in Einzelfällen Zytopenien nachweisbar. In einer Studie zu Straßenkatzen in Saragossa, Spanien (Villanueva-Sazet al. 2023), fiel die Erregerverteilung etwas anders aus als in der Studie mit Straßenkatzen in Thüringen … Welche Unterschiede sind zu verzeichnen? Welche Rolle spielen Vektoren hierbei? Wir befinden uns hier in Südeuropa und die Verteilung der Vektoren ist eine andere. Da I. ricinus beispielsweise dort kaum vorkommt, war es nicht überraschend, in Spanien keine Infektionen mit A. phagocytophilum nachgewiesen zu haben. Die Verbreitung von Infektionserkrankungen ist abhängig von der Verbreitung der Vektoren. Hingegen war auch hier die hohe Zahl an akuten Infektionen mittels PCR bei den Hepatozoen (26 %), den hämotropen Mykoplasmen (23 %)und den Bartonellen (9 %) bei den insgesamt 332 Straßenkatzen aus Spanien interessant. Akute Infektionen mit Leishmanien konnten wir bei 2 % der Katzen diagnostizieren. Vor allem die hohe Nachweisrate akuter Bartonellen-Infektionen ist zoonotisch spannend, da diese die „Katzenkratzkrankheit“ beim Menschen auslösen können.Die Zahl an importierten Katzen wird in Deutschland nicht erfasst. Es scheinen jedoch nicht so wenige Katzen zu sein, die aus dem Ausland hierher verbracht werden. Stichwort Herkunftsort: Was sollten Halter von importierten Tieren beachten resp. auf welche Erkrankungen sollten dieKatzen getestet werden? In Deutschland haben wir keine Kenntnis über die Zahlen importierter Hunde und Katzen. Die Schweiz erfasst jedoch die Zahl importierter Hunde sehr genau (2022: 30.754 Hunde, aktuell ca. 2800 Hunde/Monat). Die Katzenpopulation in der Schweiz beträgt ca. 2 Millionen Katzen, wobei ca. ein Drittel registriert ist. Im Januar 2024 ergab eine Statistik einen Import von 604 Katzen. Allgemein sollten Katzen ab einem Alter von 6 Monaten direkt nach Import mit einem Screening auf VBDs untersucht werden, abhängig von dem Herkunftsland und den dort jeweils vorkommenden Erregern. Geografisch kann man hier aufgrund der unterschiedlichen Verbreitung der Vektoren zwischen Süd-, Ost- und Nord-/Zentraleuropa unterscheiden. Die Leishmaniose ist ein anderes sehr weites Feld, es gibt zahlreiche Studien zum Vorkommen bei Hund, Katze und Mensch. Wie würden Sie das klinische Geschehen bei der Katze einordnen? Was können wir tun, um zu erwartenden zukünftigen Ereignissen (v. a. der Erregerausbreitung) zuvorzukommen/vorzubeugen? Was ist diagnostisch und therapeutisch beim Patienten Katze zu beachten? Amastigote Formen von Leishmania infantum intrazellulär in Makrophagen sowie extrazellulär. Foto: © Dr. Ingo Schäfer, Laboklin GmbH & Co. KG Bei der Katze ist die Leishmaniose extrem spannend. Zunächst sind die Verbreitungsgebiete sehr ähnlich zum Hund und auch der Vektor ist derselbe. Katzen sind meist subklinisch infiziert und fungieren als Erregerreservoir. Tritt dann eine Immunsuppression auf (z. B. durch Kortisongaben, andere Grunderkrankungen, FeLV, FIV), kommt es zu klinischen Verläufen, in denen bei den meisten Fällen neben einer unspezifischen klinischen Symptomatik (Fieber, Inappetenz, Lethargie, Lymphadenopathien) auch typische Hautläsionen auftreten. Diagnostisch stehen dieselben Optionen wie bei Hunden zur Verfügung. Bis zu 50 % der Fälle bei Katzen können bereits durch den mikroskopischen Nachweis von Amastigoten in den Hautläsionen diagnostiziert werden. Zusätzlich stehen PCR und Antikörpertests zur Verfügung, wir haben einen ELISA bei der Katze etabliert. Das Serum Amyloid A als akutes Phase Protein scheint nützlich für das Monitoring, vergleichbar zum CRP bei Hunden. Therapeutisch sprechen die meisten Katzen sehr gut auf eine leishmaniostatische Behandlung mit Allopurinol an. Dies ist recht einfach zu applizieren und in der Regel gut verträglich, Koprostasen können jedoch auftreten. Milteforan als leishmanizides Medikament kann Heinz-Körperchen-Anämien bei Katzen auslösen durch oxidativen Stress und sollte daher mit Bedacht eingesetzt werden. Glukantime als weitere leishmanizide Therapie wird bei den Katzen in Südeuropa bevorzugt eingesetzt. Jedoch müssen die Katzen subkutan gespritzt werden und es sind keine (Langzeit-)Studien zu den Auswirkungen auf die Nieren bekannt. Deshalb empfehlen wir aktuell bei in Zentraleuropa lebenden Katzen Allopurinol als first-line Therapie der felinen Leishmaniose. Hautläsion bei einer Katze mit Leishmaniose Foto: © Dr. Ingo Schäfer, Laboklin GmbH & Co. KG Welche Symptome sind verdächtig, wie erhärtet der Praktiker einen Verdacht auf VBDs? Bei klinischem Verdacht auf VBDs (v. a. Fieber, Inappetenz, Lethargie) sollten die Analyse eines Blutausstrichs sowie eine gezielte PCR-Diagnostik erfolgen. Bei den Leishmanien zeigen die meisten Katzen interessanterweise ulzerative Hautläsionen an den distalen Gliedmaßen, hier können bis zu 50 % der Fälle bereits über eine Abklatschzytologie mit Nachweis einer (pyo-)granulomatösen Entzündung und amastigoten Formen der Leishmanien diagnostiziert werden. Es ist zu beobachten, dass Leishmanien eine zunehmende Resistenz gegen Allopurinol zeigen. Sie sind dabei, einen Test zu entwickeln … Diese Forschung steht noch am Anfang. Die Humanmedizin ist hier weiter, hier sind Resistenzen gegen leishmaniostatische und leishmanizide Medikamente schon länger bekannt. Tatsächlich gelang erst vor einigen Jahren bei Hunden der erste Nachweis in vitro. Wir publizieren gerade einen der ersten ausführlich beschriebenen in-vivo-Fälle. Auch sind wir im Abschluss der Entwicklung einer PCR, die die Verringerung der Kopienzahl eines bestimmten Gens nachweist. Dies wurde sowohl bei experimentellen Induktionen von Resistenzen als auch bei Hunden mit klinischem Verdacht als nützlicher Marker herausgearbeitet. Nicht zuletzt wäre die Identifizierung von Hunden, die mit resistenten Leishmanien infiziert sind, auch für die Humanmedizin von großer Bedeutung, um die Weiterverbreitung und Erregerreservoire in Hunden und Katzen zu vermeiden. Wie steht es um Infektionen mit Dirofilaria immitis bei der Katze und mit Dirofilaria repens, auch aus zoonotischen Gesichtspunkten? Bei Herzwürmern ist die Lebenserwartung adulter Herzwürmer deutlich kürzer als bei Hunden (2–4 Jahre im Vergleich zu 5–7 Jahren). Katzen scheinen auch seltener weibliche Herzwürmer zu beherbergen. Dies führt zu der Problematik, dass der D.-immitis-Antigen-Test, der ein Geburtsprotein aus den weiblichen Herzwürmern nachweist, meist negativ ist, auch bei infizierten Katzen. Bei Katzen zirkulieren meist nur sehr wenige Mikrofilarien und Katzen zeigen eine transiente Mikrofilariämie. Häufig liegt die Erregerdichte im peripheren Blut unter der Nachweisgrenze der PCR, selbst bei Blutabnahme in den Dämmerungsphasen. Daher ist bei Katzen häufig auch die PCR negativ trotz einer bestehenden Infektion. Bei Katzen muss daher die klinische Symptomatik, die Bildgebung (insbesondere der Nachweis von Filarien im Herzschall) und die Ergebnisse eines Mikro- und Makrofilariennachweises in Kombinationbetrachtet werden. Katzen zeigen gemäß den wenigen bisherigen Erfahrungswerten auch häufig eine Spontanheilung. Therapeutisch ist Melarsormin toxisch bei Katzen, die Gabe von makrozyklischen Laktonen wird aufgrund der häufig nur sehr geringgradigen Mikrofilariämie kritisch diskutiert. Bei sehr hoher Befallsdichte sind in Einzelfällen chirurgische Eingriffe mit Entfernung der Filarien aus dem Herzen beschrieben. Beim Hautwurm sind bei Katzen zumeist subklinische Verläufe beschrieben, in Einzelfällen treten subkutane Knötchen oder Dermatitisauf. Der Erreger kann dann mittels PCR und Speziesdifferenzierung nachgewiesen werden. Aktuell gibt es keine zugelassene Therapie bei Katzen, ein Fallbericht beschreibt die chirurgische Intervention mit Entfernung der Noduli. Sowohl der Herz- als auch der Hautwurm haben zoonotisches Potential und gerade der Hautwurm wird in Osteuropa aktuell in der Humanmedizin als „emerging disease“ eingestuft. Die Rolle der Katze in der Epidemiologie ist bisher wenig untersucht. Sind VBDs auf Katzen, die im gleichen Haushalt leben, übertragbar? Welche Übertragungswege sind bekannt, welche werden vermutet? Diese Fragestellung ist bei Katzen kaum untersucht. Bei den hämotropen Mykoplasmen besteht der Verdacht, dass diese über Bissverletzungen und Katzenkämpfe übertragen werden könnten. Zu den übrigen VBDs gibt es keine verlässlichen Quellen, sodass dies aktuell unklar ist. Was ist im Hinblick auf das zoonotische Risiko zu beachten? Bei zahlreichen Erregern, wie zum Beispiel den Leishmanien, Bartonellen, Anaplasmen und Dirofilarien besteht ein zoonotisches Potenzial. Da Katzen meist subklinisch infiziert sind, fungieren sie häufig als Erregerreservoire. Das beinhaltet, dass sie zur Erregerverbreitung beitragen. Es ist daher von Bedeutung, auch die subklinisch infizierten Katzen zu diagnostizieren, auch wenn keine klinischen Symptome bestehen. Unter anderem verhindert man dadurch die regionale Ausbreitung von VBDs. Eine Erkrankung, die bei Hunden hierzulande immer mehr an Bedeutung gewinnt, ist die Babesiose. Mittlerweile ist auch eine stärkere Verteilung auf das ganze Jahr zu beobachten, Tendenz steigend. Wo sind Hotspots für die canine Babesiose, gibt es Neues zu Klinik, Diagnostik und Therapie? Sehr spannende Frage. Bis vor 20–30 Jahren kannte man den Erreger in Deutschland bei Hunden noch nicht. Nun ist aber der Vektor, Dermacentor reticulatus, mittlerweile flächendeckend in Deutschland verbreitet. Wir haben in den letzten Jahren Risikogebiete für schwere klinische Verläufe vor allem im Raum Berlin/Brandenburg und in der Rhein-Main-Ebene in Deutschland festgestellt. Die Bedeutung der caninen Babesiose ausgelöst durch B. canis in Deutschland steigt und mittlerweile ist die Erkrankung differenzialdiagnostisch auch dasganze Jahr über zu berücksichtigen. Wir sind gerade an einer Doktorarbeit beteiligt, die sich diesem Thema widmet und werden in Kürze sehr interessante Ergebnisse präsentieren können. Wichtig ist, dass Hunde bei uns in Deutschland mit der hohen Dosierung des Imidocarb-Diproprionat (Carbesia, 0,5 ml/10 kg Körpergewicht 2-malig intramuskulär im Abstand von 14 Tagen) therapiert werden sollten und der Therapieerfolg mittels PCR 5-8 Tage nach der zweiten Injektion überprüft werden sollte. Aktuell fraglich ist, ob der Erreger vollständig eliminiert werden kann trotz adäquater Therapie und negativer PCR nach Therapieende. Liebe Frau Dr. von Luckner, lieber Herr Dr. Schäfer, herzlichen Dank für das Gespräch. Das Interview, das in Kompakt VetMed 05/2025 erschienen ist, führte Tierärztin Sigrun Grombacher.
Mehr erfahren zu: "Dahme-Spreewald: Newcastle-Krankheit-Auflagen für Geflügelhalter aufgehoben" Dahme-Spreewald: Newcastle-Krankheit-Auflagen für Geflügelhalter aufgehoben Erleichterung für Geflügelhalter: Nach schweren Ausbrüchen der Newcastle-Krankheit fällt ein Teil der Beschränkungen in Dahme-Spreewald weg.
Mehr erfahren zu: "Lugolsche Lösung ist kein Lebensmittel" Lugolsche Lösung ist kein Lebensmittel In den sozialen Medien und auf Internetportalen werden Mittel zur Nahrungsergänzung angeboten, deren Inhaltsstoffe nicht für den Verzehr vorgesehen sind. Eines der Mittel, dessen Einnahme derzeit gegen Jodmangel beworben wird, […]
Mehr erfahren zu: "World Fish Migration Day: Wanderfischen fehlt es an Bewegungsspielraum" World Fish Migration Day: Wanderfischen fehlt es an Bewegungsspielraum Manche Fische müssen wandern, um das Überleben ihrer Art zu sichern – doch ihre Wege sind zunehmend versperrt. Der Internationale Tag der Wanderfische (World Fish Migration Day) am 23. Mai […]