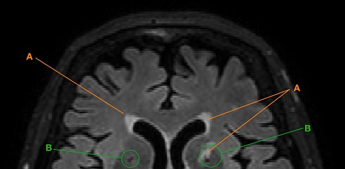
Akademische Ausbildung kann Hirnalterung günstig beeinflussen12. Januar 2022 Foto: ©AGPhotography – stock.adobe.com Eine gute Ausbildung und lebenslanges Lernen tragen auch im hohen Alter Früchte: Erste Befunde einer Langzeitstudie zeigen, dass bei Akademikerinnen und Akademikern gewisse Degenerationsprozesse im Gehirn weniger stark voranschreiten. Altersbedingte kognitive und neuronale Einschränkungen werden besser kompensiert. Eine gute Ausbildung gilt als sinnvolle Strategie, um beruflich erfolgreich zu sein und die eigene Persönlichkeit zu entfalten. Aber kann Bildung auch die Hirnalterung günstig beeinflussen? Dieser Frage ging ein Längsschnittprojekt des universitären Forschungsschwerpunkts “Dynamik des gesunden Alterns” unter der Leitung von Lutz Jäncke, Professor für Neuropsychologie an der Universität Zürich, nach. Das Forschungsteam begleitete über sieben Jahre mehr als 200 Seniorinnen und Senioren, die nicht dement, durchschnittlich bis überdurchschnittlich intelligent und sozial sehr aktiv sind. In regelmäßsigen Abständen wurden sie mittels Magnetresonanztomographie neuroanatomisch sowie neuropsychologisch untersucht. Anhand von aufwendigen statistischen Analysen konnte nun gezeigt werden, dass eine akademische Ausbildung eine geringere altersbedingte Hirndegeneration begünstigt. Hirnzerfall durch weiße Flecken oder schwarze Löcher Die Erstautorin Isabel Hotz vermaß im Rahmen ihrer Doktorarbeit mit teilweise neuen, automatisierten Methoden Lakunen und Hyperintensitäten der weißen Hirnsubstanz. Diese Degenerationsprozesse zeigten sich als “weiße Flecken” oder “schwarze Löcher” auf den digitalen Aufnahmen. Die Ursachen dafür sind nicht eindeutig bekannt und können in kleinen, nicht bemerkten Hirninfarkten, einer geringeren Durchblutung oder im Abbau von Nervenbahnen und -zellen liegen. In der Folge können Einschränkungen kognitiver Leistungen auftreten, vor allem dann, wenn dieser Zerfall an strategisch wichtigen Stellen des Gehirns auftritt. Ausschnitt eines mittels MRT gemessenen Gehirns im Horizontalschnitt mit Hyperintensitäten der weißen Substanz (A) und Lakunen (B). (Bild: UZH) Die Befunde zeigen, dass Seniorinnen und Senioren mit einer akademischen Ausbildung im Verlauf der sieben Jahre eine deutlich geringere Zunahme dieser typischen Hirndegenerationszeichen aufweisen. “Darüber hinaus waren Akademikerinnen und Akademiker auch in der Verarbeitungsgeschwindigkeit schneller und genauer – zum Beispiel beim Vergleich von Buchstaben, Zahlen oder Mustern. Sie offenbarten insgesamt eine geringere Leistungsabnahme in diesem wichtigen psychischen Verarbeitungsprozess”, fasst Hotz zusammen. Reserven werden angezapft Damit ergänzen diese Befunde erste Hinweise anderer Forschungsgruppen, dass Bildung einen günstigen Einfluss auf die Hirnalterung hat. Frühere Studien zeigten zudem, dass die Verarbeitungsgeschwindigkeit von der Integrität der im Hirn verteilter neuronaler Netzwerke abhängt. Werden diese in Mitleidenschaft gezogen, sinkt die Verarbeitungsgeschwindigkeit. Auch wenn noch kein kausaler Mechanismus zwischen Bildung und geringerer natürlicher Hirndegeneration gefunden wurde, liegt zumindest ein Zusammenhang nah: “Wir vermuten, dass eine gute Ausbildung im Laufe des Lebens zu einer Zunahme der neuronalen und kognitiven Netzwerke führt und damit Reserven aufbaut. Im Alter können dann eintretende Hirnbeeinträchtigungen besser kompensiert werden”, sagt Neuropsychologe Jäncke. Möglich sei auch, dass ein Gehirn, das bis ins hohe Alter geistig rege bleibt, weniger anfällig für Degenerationsprozesse ist. Dies müsse allerdings im weiteren Verlauf der noch andauernden Längsschnittstudie überprüft werden, so der Forscher.
Mehr erfahren zu: "DGN kritisiert Übersichtsarbeit zu neuen Alzheimer-Medikamenten" Weiterlesen nach Anmeldung DGN kritisiert Übersichtsarbeit zu neuen Alzheimer-Medikamenten Die aktuelle Cochrane-Analyse kommt zu dem Schluss, dass Beta-Amyloid-Antikörper insgesamt keinen klaren klinischen Nutzen zeigen. DGN-Experten warnen jedoch davor, daraus eine grundsätzliche Wirkungslosigkeit des Prinzips dieser Alzheimer-Medikamente abzuleiten, da zugelassene […]
Mehr erfahren zu: "Leigh-Syndrom: Künstliche Intelligenz hilft bei Suche nach neuen Therapien" Leigh-Syndrom: Künstliche Intelligenz hilft bei Suche nach neuen Therapien Gemeinsam mit einem Team der Universität Luxemburg ist es Düsseldorfer Forschenden unter Einsatz von Künstlicher Intelligenz (KI) gelungen, ein Modell zum besseren Verständnis des Leigh-Syndroms zu etablieren. In dem Zuge […]
Mehr erfahren zu: "Wie ist das menschliche Gehirn entstanden? Was Gehirnorganoide von Weißbüschelaffen leisten" Wie ist das menschliche Gehirn entstanden? Was Gehirnorganoide von Weißbüschelaffen leisten Im Gegensatz zum Menschen haben Weißbüschelaffen sehr kleine und nur wenig gefaltete Gehirne. Dr. Michael Heide, Deutsches Primatenzentrum – Leibniz-Institut für Primatenforschung, kultiviert aus Primatenstammzellen Gehirnorganoide. Ziel ist es, mit […]