Mehr erfahren zu: "Neue Erkenntnisse zum gastroösophagealen Übergang: Ausgeklügelte Kommunikation zwischen verschiedenen Zelltypen" Neue Erkenntnisse zum gastroösophagealen Übergang: Ausgeklügelte Kommunikation zwischen verschiedenen Zelltypen Der Übergang von der Speiseröhre zum Magen ist aus medizinischer Sicht eine heikle Region. Jetzt hat ein Forschungsteam neue Einblicke in diese Region gewonnen. Diese ebnen den Weg für neue […]
Mehr erfahren zu: "AACR 2024: Vielversprechende frühe Ergebnisse mit neuen Krebstherapien und Targets aus Houston" Weiterlesen nach Anmeldung AACR 2024: Vielversprechende frühe Ergebnisse mit neuen Krebstherapien und Targets aus Houston Drei frühe klinische Studien, die von Forschenden des MD Anderson Cancer Center der University of Texas auf der Jahrestagung 2024 der American Association for Cancer Research (AACR) in San Diego […]
Mehr erfahren zu: "Ein Schaltkreis im Gehirn, der uns den Appetit verdirbt" Ein Schaltkreis im Gehirn, der uns den Appetit verdirbt Forschende am Max-Planck-Institut für biologische Intelligenz haben im Gehirn einen Schaltkreis identifiziert, der Mäuse bei Übelkeit vom Fressen abhält. Eine zentrale Rolle spielen dabei spezielle Nervenzellen in der Amygdala, die […]
Mehr erfahren zu: "Zusammenhang zwischen Tuberkulose-Infektion und erhöhtem Risiko für verschiedene Krebsarten entdeckt" Zusammenhang zwischen Tuberkulose-Infektion und erhöhtem Risiko für verschiedene Krebsarten entdeckt Eine neue bevölkerungsweite Beobachtungsstudie aus Südkorea zeigt, dass Personen mit aktueller Tuberkulose oder einer solchen Erkrankung in der Vergangenheit eine höhere Wahrscheinlichkeit für verschiedene Krebsarten besitzen.
Mehr erfahren zu: "Neoadjuvante Immun- plus Radiochemotherapie bei resektablen Karzinomen der Speiseröhre und des gastroösophagealen Übergangs: Serielle ctDNA-Tests zeigen das Ansprechen" Weiterlesen nach Anmeldung Neoadjuvante Immun- plus Radiochemotherapie bei resektablen Karzinomen der Speiseröhre und des gastroösophagealen Übergangs: Serielle ctDNA-Tests zeigen das Ansprechen Neue Forschungsergebnissen zeigen spannende Immunreaktionen bei Patienten mit operablem Ösophagus- oder gastroösophagealen Karzinomen, die eine neoadjuvante Immuntherapie erhalten.
Mehr erfahren zu: "Welche Rolle spielt das Mikrobiom für die Alzheimer-Erkrankung?" Welche Rolle spielt das Mikrobiom für die Alzheimer-Erkrankung? Eine neue Studie der Universität Kiel und des Universitätsklinikums Schleswig-Holstein zeigt Auffälligkeiten im oralen Mikrobiom schon Jahre vor Ausbruch der Erkrankung.
Mehr erfahren zu: "Bariatrische Chirurgie: Langfristige Blutzuckerkontrolle und Remission von Typ-2-Diabetes möglich" Bariatrische Chirurgie: Langfristige Blutzuckerkontrolle und Remission von Typ-2-Diabetes möglich Menschen mit Typ-2-Diabetes, die sich einer bariatrischen Operation unterzogen hatten, erreichten eine bessere langfristige Blutzuckerkontrolle im Vergleich zu Menschen, die eine medizinische Behandlung plus Lebensstil-Interventionen erhielten. Das ist das Ergebnis […]
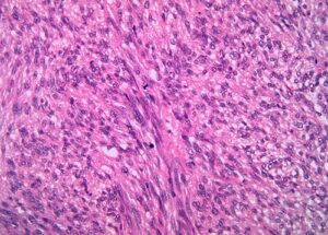
Mehr erfahren zu: "Onkologie und Wirkstoff-Forschung: Gemeinsame Erfolge bei seltenem Magen-Darm-Krebs" Onkologie und Wirkstoff-Forschung: Gemeinsame Erfolge bei seltenem Magen-Darm-Krebs Forschenden haben eine neue Form von Resistenzmechanismen identifiziert, die erklären, warum Patienten, die an gastrointestinalen Stromatumoren (GIST) erkrankt sind, auch auf neueste Therapien nicht mehr ansprechen.
Mehr erfahren zu: "Europaweite Studie zur Früherkennung von Magenkrebs gestartet" Europaweite Studie zur Früherkennung von Magenkrebs gestartet In einer Pilotstudie in Magdeburg wollen Forschende eine Screening-Methode für die Prävention von Magenkrebs evaluieren.