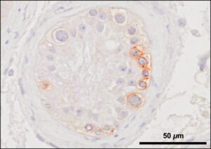
Mutationen in zwei essenziellen Genen führen zu männlicher Unfruchtbarkeit22. Februar 2024 Springende Gene (braune Färbung) greifen Keimzell-DNA (blaue Färbung) im menschlichen Hoden an. Foto: Adja Rotte und Birgit Stallmeyer, Universität Münster Eine internationale Forschergruppe hat ein Paar von Proteinen entdeckt, dessen Zusammenarbeit dafür notwendig ist, die DNA der männlichen Urkeimzellen im Fötus vor Transposons zu schützen. Sind die codierenden Gene mutiert, kann es zu schweren Formen der Unfruchtbarkeit kommen. Die genetische Analyse von Fällen männlicher Unfruchtbarkeit ergab in dieser Studie, dass seltene Mutationen im Gen SPOCD1 die Bildung gesunder Spermien in den frühesten Stadien ihrer Entwicklung stört. Die Wissenschaftler beschreiben zudem ein bisher unbekanntes Proetin, C19orf84, das mit SPOCD1 zusammenarbeitet, um die Vorläufer von Spermien im Frühstadium vor Schäden zu schützen. Das Problem: Während ihrer Entwicklung durchlaufen Keimzellen einen Umprogrammierungsprozess, der sie besonders anfällig für die springenden Gene macht. Daher hat sich ein Schutzmechanismus entwickelt, der die Fruchtbarkeit während des ganzen Lebens in dieser frühen Phase schützt. Konkret vermittelt C19orf84 die Assoziation von SPOCD1 mit der Methylierungsmaschinerie der Urkeimzellen. Wie die Forscher bereits zuvor im Mausmodell herausgefunden hatten, steuern PIWI-interagierende RNAs (piRNAs), die an das PIWI-Protein MIWI2 (PIWIL4) gebunden sind, in der männlichen Keimbahn die DNA-Methylierung junger aktiver Transposons durch SPOCD1. Dadurch wird verhindert, dass sich die Transposons in die DNA der Keimzellen setzen und sie schädigen Die Entdeckung der wesentlichen Rolle der beiden Schlüsselgene SPOCD1 und C19ORF84 könnte die Erklärung für Fälle von Kryptozoospermie und Azoospermie liefern und zu einem erweiterten genetischen Screening auf seltene Mutationen führen, hoffen die Forscher. Grundlagenforschung an Mäusen am Menschen bestätigt Eine frühere Studie der Forscher an Mäusen hatte gezeigt, dass SPOCD1 eine wesentliche Rolle beim Schutz der Keimzellen männlicher Mäuse spielt, es war jedoch unklar, ob der gleiche Prozess auch beim Menschen abläuft. Die Studie ergab, dass SPOCD1 dabei hilft, schützende DNA-Methylierungen zu rekrutieren, um Transposons zu deaktivieren. Die aktuelle Studie zeigt jetzt, dass die Männer mit fehlerhaften Versionen des SPOCD1-Gens die schwersten Formen von Unfruchtbarkeit, Azoospermie und Kryptozoospermie, aufwiesen. Um herauszufinden, ob die in Mäusen gefundenen Zusammenhänge wirklich für Fälle von Unfruchtbarkeit bei Männern verantwortlich sind, durchforsteten Wissenschaftler der Universität Edinburgh (Großbritannien) zusammen mit Forschern der Universität Münster und anderen Partneruniversitäten internationale Datenbanken mit genetischen Daten von 2913 Männern, die an Studien zum Thema Unfruchtbarkeit beteiligt waren. Sie identifizierten drei Männer, die fehlerhafte Versionen des SPOCD1-Gens trugen, was zu einer Schädigung der Urkeimzellen führte – dieser missglückte Start führte zur Unfruchtbarkeit. „Dies war ein wunderbares Gemeinschaftsprojekt, das zur Entdeckung neuer genetischer Ursachen männlicher Unfruchtbarkeit führte“, kommentiert Prof. Dónal O’Carroll von der Universität Edinburgh, Seniorautor der Studie. „Wir haben auch unser Verständnis eines Prozesses erweitert, der für die gesunde Entwicklung von Spermien von grundlegender Bedeutung ist. Diese mechanistischen Erkenntnisse führen zu einem besseren Verständnis des schwer fassbaren Prozesses, der es sich entwickelnden Spermien ermöglicht, ihre genetische Integrität zu bewahren und einem frühen Tod zu entgehen.“ „Diese Studie ist eine echte Gemeinschaftsleistung und erweitert unser Verständnis der männlichen Unfruchtbarkeit auf molekularer und genetischer Ebene“, sagt Erstautor Dr. Ansgar Zoch, der ebenfalls an der Universität Edinburgh arbeitet. „Wir liefern starke Evidenz dafür, dass SPOCD1 in genetische Screenings für Männer mit Infertitliät einbezogen werden sollte. Die Bereitstellung einer genetischen Diagnose kann dazu beitragen, betroffene Personen zu beruhigen und möglicherweise unnötige medizinische Eingriffe zu verhindern.“ Die Studie wurde in der Fachzeitschrift „Molecular Cell“ veröffentlicht. Finanziert wurde sie vom gemeinnützigen Wellcome Trust in London (Großbritannien). Beteiligt waren auch Forscher der University of Oxford (London), des Universitätsklinikums Münster, der University of Melbourne (Australien), der Oregon Health and Science University (USA), der University of Utah (USA) und der Technischen Universität Berlin. (ms)
Mehr erfahren zu: "„Politischer Verrat an der Grundversorgung“" „Politischer Verrat an der Grundversorgung“ Der Referentenentwurf für ein Gesetz zur Einsparung bei den GKV-Finanzen liegt vor. Der Berufsverband der Deutschen Urologie (BvDU) reagiert mit einer erneuten Aussendung an die Presse und wird noch schärfer […]
Mehr erfahren zu: "Zirkulierende Tumor-DNA mit hoher prognostischer Aussagekraft bei muskelinvasivem Blasenkrebs" Zirkulierende Tumor-DNA mit hoher prognostischer Aussagekraft bei muskelinvasivem Blasenkrebs Der perioperative Status zirkulierender Tumor-DNA (ctDNA) ist mit der Patientenprognose bei muskelinvasivem Blasenkarzinom (MIBC) assoziiert. Dies zeigt eine aktuelle Publikation in „European Urology Focus“.
Mehr erfahren zu: "Zystektomie behauptet ihren Stellenwert gegenüber blasenerhaltender Therapie" Zystektomie behauptet ihren Stellenwert gegenüber blasenerhaltender Therapie In einem Vergleich der radikalen Zystektomie (RC) mit blasenerhaltender Therapie (BST) bei Patienten mit rezidivierendem, hochgradigem, nicht muskelinvasivem Blasenkarzinom (NMIBC) hat die RC vergleichbar oder besser abgeschnitten. Die Patienten konnten […]