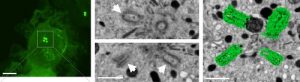
Neu entdeckter Prozess bringt Immunzellen auf Trab17. Oktober 2022 Dendritische Zelle, in der sich nach Kontakt zu einem Antigen zwei Zentrosomen mit vier sogenannten Zentriolen (grüne Punkte) gebildet haben. Bild: © Miroslav Hons / Karls-Universität Vestec Krebszellen nutzen einen ungewöhnlichen Mechanismus, um in neues Gewebe einzuwandern und dort Metastasen zu bilden. Derselbe Prozess bringt wohl auch manche Immunzellen auf Trab. Das belegt eine aktuelle Studie unter Federführung der Universität Bonn. In den Zellen vermehren sich demnach bestimmte Strukturen, die Zentriolen. Dadurch können sie besser ihre Richtung halten und so rascher in die Lymphknoten wandern, wo sie andere Abwehrzellen aktivieren. Die Ergebnisse sind nun im “Journal of Cell Biology” erschienen. Das Immunsystem setzt wie die Polizei auf Arbeitsteilung. Da sind zunächst einmal die dendritischen Zellen. Sie suchen rund um die Uhr im Gewebe nach Spuren verdächtiger Eindringlinge, Antigene genannt. Bei Erfolg eilen sie zu den Lymphgefäßen und darüber in die Lymphknoten. Dort präsentieren sie ihre Funde einem schlagkräftigen Fahndungsteam, den T-Zellen. Diese körpereigenen Truppen wissen nun, gegen welchen Feind sie vorgehen sollen.Diese Attacke muss erfolgen, bevor die Eindringlinge größeren Schaden anrichten oder sich zu sehr vermehren. Daher ist es wichtig, dass die dendritischen Zellen möglichst rasch zu dem Briefing im Lymphknoten wandern. „Wir haben einen Mechanismus entdeckt, der ihnen dabei hilft“, erklärt Prof. Eva Kiermaier vom LIMES-Institut (Life and Medical Sciences) der Universität Bonn. „Sie bilden dazu vermehrt bestimmte Strukturen, Zentrosomen genannt. Diese helfen ihnen, länger ihre Richtung zu halten und so schneller zu den Lymphgefäßen zu gelangen.“Wichtige Funktion bei der ZellteilungZentrosomen zählen zu den Organellen – das sind Molekülkomplexe, die in Zellen für bestimmte Aufgaben zuständig sind, ganz ähnlich wie die Organe im Körper. Normalerweise gibt es in jeder menschlichen Zelle genau ein Zentrosom. Kurz vor der Zellteilung verdoppelt es sich. Die beiden Kopien wandern in entgegengesetzte Pole der Zelle und spannen zwischen sich ein Bündel von Fasern auf, die Mikrotubuli. Mit ihnen ziehen sie bei der Teilung die Chromosomen (die sich ebenfalls verdoppelt haben) auseinander. Jede der entstehenden Tochterzellen erhält so einen kompletten Satz von Erbanlagen sowie eines der beiden Zentrosomen. Das Bild zeigt eine dendritische Zelle, in der sich nach Kontakt zu einem Antigen zwei Zentrosomen mit vier sogenannten Zentriolen (grüne Punkte links; rechts daneben weiter vergrößert) gebildet haben. Bild: © Miroslav Hons / Karls-Universität Vestec „Zentrosomen sind aber auch dafür zuständig, das Zytoskelett während der Zellwanderung zu organisieren“, betont Kiermaier, die 2017 durch das Rückkehrerinnen-Programm des Landes Nordrhein-Westfalen von Niederösterreich (IST Austria, Klosterneuburg) an den Rhein geholt wurde. „Darunter verstehen wir faserartige Struktur-Proteine, die der Zelle ihre Form geben und ihr Stabilität verleihen.“ Das Zytoskelett entscheidet auch darüber, wo bei einer Zelle „vorne“ und „hinten“ ist. Und das hat wiederum Einfluss auf ihre Bewegungsrichtung. „Wir konnten nun zeigen, dass dendritische Zellen mehrere Zentrosomen bilden, sobald sie mit einem Antigen in Kontakt gekommen sind“, sagt Ann-Kathrin Weier. Die Doktorandin am LIMES-Institut teilt sich mit ihrer Kollegin Mirka Homrich die Erstautorenschaft der Publikation. Beide haben wichtige Teile der Experimente durchgeführt. Länger Kurs halten, um flotter ans Ziel zu kommenDendritische Zellen haben nämlich ein Problem: Sie wissen nicht, wo das nächste Lymphgefäß ist, über das sie in den Lymphknoten gelangen können. Bei ihrer Suche verfahren sie nach der Strategie „Versuch und Irrtum“: Sie laufen eine kurze Weile in eine Richtung und wechseln diese dann, wenn sie dabei auf kein Gefäß gestoßen sind. „Je mehr Zentrosomen sie haben, desto länger halten sie Kurs, bevor sie in einer anderen Richtung weitersuchen“, sagt Homrich. „Wir konnten in Computersimulationen zeigen, dass sie dadurch die Lymphgefäße deutlich schneller finden als normalerweise.“ Dabei wird durch die Vermehrung der Zentrosomen ihr Durchhaltevermögen genau passend justiert – sie halten also nicht zu störrisch an ihrer Richtung fest. Denn dann würde die Gefahr steigen, dass sie auf Abwege geraten und sich komplett „verrennen“.Der in der Studie identifizierte Mechanismus war bei gesunden Zellen bislang völlig unbekannt. Von Krebszellen wusste man, dass sie ihn nutzen, um Metastasen zu bilden. Dazu dürfen die vervielfachten Zentrosomen aber nicht frei verteilt in ihrem Innern liegen. Denn sonst würden sie Funktionen wie die Zellteilung empfindlich stören. Sowohl in Tumor- als auch in den dendritischen Zellen versammeln sich die Organellen daher an einer einzigen Stelle – sie kondensieren. „Es gibt inzwischen Wirkstoffe, die diese Kondensation der Zentrosomen stören“, sagt Kiermaier, die auch Mitglied im Exzellenzcluster ImmunoSensation2 und im Transdisziplinären Forschungsbereich „Leben und Gesundheit“ der Universität Bonn ist. „Dadurch können sich die Krebszellen nicht mehr korrekt teilen, sondern sterben ab.“Möglicherweise stören diese Substanzen aber auch das Immunsystem – schließlich kondensieren die Zentrosomen auch dort. „Wir haben verschiedene dieser Wirkstoffe in Zellkulturen getestet“, sagt sie. „Dabei haben wir tatsächlich Anzeichen dafür gefunden, dass sie die Schlagkraft der Immunabwehr erheblich beeinträchtigen könnten.“ Würde sich das in klinischen Studien bestätigen, wäre das eine schlechte Nachricht. Denn dann müsste man bei Einsatz der Wirkstoffe in der Krebstherapie erhebliche Nebenwirkungen befürchten.Beteiligte Institutionen und Förderung: An den Arbeiten waren neben der Universität Bonn die Karls-Universität in Vestec, Tschechien, sowie die Institute für Wissenschaft und Technologie in Österreich und Spanien beteiligt. Die Studie wurde durch die Deutsche Forschungsgemeinschaft (DFG), das Ministerium für Innovation, Wissenschaft und Forschung NRW, die Chan- Zuckerberg-Initiative (USA) sowie die tschechische Forschungsstiftung gefördert.
Mehr erfahren zu: "Onkoderm fordert differenzierte Neubewertung des Hautkrebsscreenings" Onkoderm fordert differenzierte Neubewertung des Hautkrebsscreenings Das Netzwerk onkoderm warnt davor, die Bewertung des Hautkrebsscreenings nur auf Mortalitätsdaten zu stützen. Weitere Faktoren wie eine geringere Morbidität sowie die Resultate moderner Therapien müssten stärker einbezogen werden.
Mehr erfahren zu: "Entzündungsgene als Link zwischen Bauchspeicheldrüsenkrebs und Stoffwechselerkrankungen" Entzündungsgene als Link zwischen Bauchspeicheldrüsenkrebs und Stoffwechselerkrankungen Neuen Daten zufolge sind bei Bauchspeicheldrüsenkrebs, Adipositas und Diabetes dieselben Gene aktiv. Gemeinsame Entzündungsprozesse könnten erklären, warum Menschen mit Stoffwechselerkrankungen häufig eine schlechtere Prognose bei Krebserkrankungen haben – und neue […]
Mehr erfahren zu: "Warken verteidigt Sparpläne: „Zumutung, aber notwendig“" Warken verteidigt Sparpläne: „Zumutung, aber notwendig“ Geplante Milliarden-Einsparungen bei den Gesundheitsausgaben empören Praxen und Kliniken. Die Ministerin stellt sich dem Unmut beim Ärztetag – größere Zugeständnisse signalisiert sie nicht.