Ausgabe 16/2025

Klicken Sie hier, um diesen Newsletter online anzusehen!

newsletter-logo-impuls-neuro
 
 

Mittwoch, 16. April 2025

Liebe Leserinnen und Leser,

da die Symptome einer transitorischen ischämischen Attacke (TIA) meist nur wenige Minuten anhalten, unterschätzen Betroffene die klinische Bedeutsamkeit einer solchen kurzfristigen Minderdurchblutung des Gehirns häufig. Dabei gilt die TIA als Vorbote eines nachfolgenden Schlaganfalls – und das nicht nur kurzfristig, sondern über einen langen Zeitraum hinweg, wie Forschende des PERSIST-Netzwerkes in „JAMA“ berichten. So errechneten die Wissenschaftler auf Basis von 38 Studien mit mehr als 170.000 Patienten eine kumulative Fünf- beziehungsweise Zehn-Jahres-Inzidenz von Schlaganfällen nach einer TIA oder einem Minor Stroke von 12,5 beziehungsweise 19,8 Prozent. Angesichts dieser Zahlen plädieren die Autoren, die Maßnahmen zur langfristigen Schlaganfallprävention in dieser Patientengruppe zu verbessern. Dazu müssen die Betroffenen ihren Arzt aber erst einmal über ein solches Ereignis informieren.

Die Details zur Studie sowie weitere interessante Neuigkeiten können Sie im Newsletter nachlesen.

Eine aufschlussreiche Lektüre wünscht Ihnen




   Ihre
   Eva Junker

 

 
 
Nach TIA oder Minor Stroke ist das Schlaganfallrisiko langfristig erhöht

Nach TIA oder Minor Stroke ist das Schlaganfallrisiko langfristig erhöht

Bei Patienten, die eine transitorische ischämische Attacke (TIA) oder einen Minor Stroke erlitten haben, besteht ein anhaltend hohes Risiko für einen nachfolgenden Schlaganfall. Das geht aus einer Review-Arbeit in „JAMA“ hervor, die die jährlichen Inzidenzraten und die kumulative Inzidenz von Schlaganfällen bis zu zehn Jahre nach solchen Ereignissen ermittelt hat.

Lesen Sie hier weiter ...
 
 
 
    Advertorial    
 
 

Kasuistiken: Migräne hat viele Gesichter

Migräne zeigt sich in unterschiedlichen Facetten und Migräneprophylaxe stellt oft eine Herausforderung im Praxisalltag dar. Vyepti® (Eptinezumab) verringert stark, schnell und lang wirksam1-4 die monatlichen Migränetage.1,2 Entdecken Sie durch Fallbeispiele Ihrer Kolleg:innen, wie Ihre Patient:innen von einem frühzeitigen Einsatz von Vyepti® in der Antikörper-Therapie profitieren können.

Fachinformation | Referenzen

migraene-gesichter-text
 
 
 

Neue Einblicke in den Gehirnstoffwechsel

Ein neues Open-Source-Modell des Hirnstoffwechsels zeigt, wie die Senkung des Blutzuckerspiegels sowie die Erhöhung des Keton- und Laktatspiegels im Blut dazu beitragen könnten, die Stoffwechselfunktion in alternden Gehirnen wiederherzustellen. All dies könnte möglicherweise durch eine Änderung des Lebensstils erreicht werden.

Lesen Sie hier weiter ...
 
 
    Advertorial    
 
 

Schubunabhängige Behinderungsakkumulation von Beginn an

Trotz wirksamer Immuntherapien erleben viele MS-Patient*innen eine Akkumulation von Behinderungen.1–3 Verantwortlich dafür sind zwei Prozesse, die als RAW und PIRA bezeichnet werden.1,2,4 Die schubunabhängige Progression (PIRA) tritt von Beginn der Erkrankung an auf, bleibt anfangs oftmals jedoch unbemerkt.1,5

Referenzen
MAT-DE-2403629-1.0-09/2024

biermann_06-NOV-2024_200x200
 
 
 
 
Verringerte Dopaminproduktion beeinflusst Lernfähigkeit auf überraschende Weise

Verringerte Dopaminproduktion beeinflusst Lernfähigkeit auf überraschende Weise

Forschende des Leibniz-Instituts für Neurobiologie (LIN) haben zeigen können, dass eine Verringerung der Dopaminproduktion im Gehirn das Lernen auf überraschende Weise verändert. Ihre Ergebnisse könnten neue Einsichten für das Verständnis psychiatrischer Erkrankungen wie Schizophrenie bieten, bei denen Dopamin eine Schlüsselrolle spielt.

Lesen Sie hier weiter ...
 
 
 
    Advertorial    
 
 

Alle 2 Monate bei Schizophrenie: Abilify Maintena® 960 mg

Mit Abilify Maintena® 960 mg gibt es erstmals ein Depot-Antipsychotikum in der EU, das nur alle 2 Monate verabreicht werden muss. Erfahren Sie hier mehr zur Einstellung, den Studiendaten und dem Handling der Fertigspritze von Abilify Maintena® 960 mg, dem neuen Aripiprazol-2-Monats-Depot.

Pflichttext

065_Banner_ärztl.Prax_mit_Störer_200x250_250403_72ppi
 
 
 

Warum Darmkrebs ins Gehirn streut: Genetische Mechanismen entschlüsselt

In einer kürzlich in „Nature Communications“ veröffentlichten Studie haben Forschende die chromosomalen Mechanismen untersucht, die die Metastasenbildung von Darmkrebs im Gehirn begünstigen.

Lesen Sie hier weiter ...
 
 
    Advertorial    
 
 

Migräneprophylaxe mit Erenumaba (AIMOVIG®)

Die gegenwärtige Studienlage zu Erenumab (AIMOVIG®) inklusive aktueller Real-World-Daten zeigt eine anhaltende Wirksamkeit und Verträglichkeit des subkutan zu applizierenden CGRP-Rezeptor- Antikörpers in der Migräneprophylaxe.1

Pflichtangaben | Referenzen

Aimovig_Logobanner-200x125px
 
 
 
 

Unsere Auswahl: Aktuelles aus internationalen Journals

Sekundäre Schlaganfallprävention über Thrombozytenaggregationshemmer hinaus: Die Rolle von Colchicin und GLP-1-Rezeptoragonisten.
Ther Adv Neurol Dis, 12.04.2025

Wirksamkeit und Sicherheit von Brexpiprazol bei Jugendlichen mit Schizophrenie: Eine multinationale, randomisierte, doppelblinde, placebokontrollierte Phase-III-Studie mit einer aktiven Referenz.
The Lancet Psychiatry, 10.04.2025

Automatisierte Sprachanalyse zur Unterscheidung von frontaler und rechter anteriorer Temporallappenatrophie bei frontotemporaler Demenz.
Neurology, 10.04.2025

Suboptimale B-Zell-Depletion steht bei Patienten mit Multipler Sklerose, die mit Ocrelizumab behandelt werden, mit schubunabhängiger Krankheitsprogression (PIRA) im Zusammenhang.
Mult Scler, 03.40.2025

 
 
 
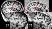
Neue MRT-Technik ermöglicht sicherere Epilepsie-Chirurgie

Neue MRT-Technik ermöglicht sicherere Epilepsie-Chirurgie

7T–Ultrahochfeld-MRT-Scanner ermöglichen bei Gehirnscans eine deutlich detailliertere Auflösung als 3T-MRT-Scanner, allerdings sind sie auch anfällig für dunkle Flecken, die als Signalausfälle bekannt sind. Dieses Problem haben Forschenden nun mithilfe einer Technik gelöst, die als „paralleles Senden“ (pTx) bekannt ist und bei der sie acht Elemente eines Spulen-Arrays verwendeten, um die problematischen Aussetzer zu vermeiden.

Lesen Sie hier weiter ...
 
 
 

KURZMELDUNGEN:

Die Deutsche Gesellschaft für Psychiatrie und Psychotherapie, Psychosomatik und Nervenheilkunde (DGPPN) begrüßt den hohen Stellenwert der psychischen Gesundheit im aktuellen Koalitionsvertrag.
Weiterlesen ...

Angesichts von schätzungsweise 2,5 Millionen Ansteckungen jährlich hat die Weltgesundheitsorganisation (WHO) Richtlinien veröffentlicht, um die Diagnose, Therapie und Prophylaxe bakterieller Meningitis-Erkrankungen weltweit zu verbessern.
Weiterlesen ...

TERMINE:

Tagung: Ethische Chancen und Risiken von Digitalisierung in der Psychiatrie
21. Mai 2025
Göttingen

11th European Stroke Organisation Conference
21. – 23. Mai 2025
Helsinki, Finnland

2. Kopfschmerzkongress
23. – 25. Mai 2025
Köln

11th Congress of the European Academy of Neurology
21. – 24. Juni 2025
Helsinki, Finnland

 
 

„Impuls Neurologie Psychiatrie“ ist ein Titel der Biermann Verlag GmbH in Köln. Sie erhalten diese E-Mail, da Sie für diesen Newsletter angemeldet sind. Sie können in unserem Fachportal weitere Newsletter zu verschiedenen medizinischen Fachrichtungen abonnieren. Sollten Sie kein Interesse mehr an diesem Newsletter haben, können Sie sich hier abmelden. Haben Sie Fragen oder Anregungen zu unseren Themen und Inhalten, freuen wir uns auf Ihre E-Mail: [email protected]. Bitte beachten Sie, dass dieser Newsletter nur Angehörigen der Heilberufe gemäß HWG §10 zugänglich gemacht werden darf; das gilt auch für das Weiterempfehlen und Weiterleiten.

Impressum: Biermann Verlag GmbH | MedCon Health Contents GmbH | HRB Bonn 11110 | HRB Köln 78926

Geschäftsführer: Dr. med. Hans Biermann

Hier vollständiges Impressum aufrufen