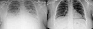
Rätselhafte Krankheitsfälle unter Vaping-Konsumenten: Eine Form der Lipidpneumonie?12. September 2019 Lipid-geladene Makrophagen bei Patienten mit Vaping-assoziierter Atemwegserkrankung. Ölige Lipide rot eingefärbt. (Foto: © Andrew Hansen, MD, Jordan Valley Medical Center) Mediziner haben ein zuvor nicht erkanntes Merkmal derjenigen Atemwegserkrankung identifiziert, die in den vergangenen Monaten in Clustern in den USA aufgetreten ist. In der Lunge dieser Patienten befinden sich große Immunzellen, die zahlreiche ölige Tröpfchen enthalten: Lipid-beladene Makrophagen. Dank dieser Erkenntnis können Mediziner nun das Syndrom schon im Frühstadium diagnostizieren und zu einem früheren Zeitpunkt mit der richtigen Therapie beginnen. Die neuen Forschungsergebnisse könnten auch Hinweise auf die Ursachen der neuen und rätselhaften Erkrankung geben. Die Forscher von der University of Utah Health berichteten darüber im „New England Journal of Medicine“. „Es ist zwar noch zu früh um sicher zu sein, dass diese mit Lipiden beladenen Makrophagen bei der Diagnose oder dem Ausschluss dieser Erkrankung helfen“, sagt Dr. Scott Aberegg, Pneumologe und Intensivmediziner sowie Seniorautor der Studie. „Sie können helfen zu verstehen, was diese Krankheit verursacht“, fügt er hinzu. In der Bildgebung präsentiert sich die Lunge von Patienten mit der „Vaping-Krankheit“ wie bei einer schweren viralen oder bakteriellen Pneumonie. Tests auf eine solche Erkrankung verliefen allerdings negativ. Stattdessen beruht die Diagnose auf dem Ausschluss bekannter Ursachen für ähnliche Atemwegserkrankungen in Verbindung mit dem Wissen, dass der Patient in der Vergangenheit gedampft hatte. Links: Lungen-Scan eines von der Vaping-assoziierten Atemwegserkrankung schwer betroffenen Patienten. Rechts: Lungen-Scan desselben Patienten nach Behandlung und Besserung. (Foto: © University of Utah Health) Die Forscher identifizierten die mit Lipiden beladenen Makrophagen bei sechs von sechs Fällen am University of Utah Hospital in Salt Lake City, die zum Zeitpunkt der Einreichung der Ergebnisse zur Veröffentlichung aufgetreten waren. Die Zellen wurden in bronchoalveolärer Lavage gefunden. Durch Anfärben mit einem Farbstoff namens Oil-red-O wurden die öligen Tröpfchen sichtbar. Aberegg: „Diese Zellen sind sehr charakteristisch, und wir sehen sie nicht oft. Das hat alle dazu veranlasst, intensiv darüber nachzudenken, warum sie dort waren. Reinigen sie die Lunge von Rückständen des Vapings?“ Die Mediziner führten den Test im Juli 2019 an dem ersten an der University of Utah Health behandelten Patienten durch, nachdem der überweisende Arzt vermutet hatte, dass der Patient an einer Lipidpneumonie leiden könnte. Diese Erkrankung wird diagnostiziert, indem man den Patienten auf Lipid-beladene Makrophagen screent. Nachdem der Marker bei diesem Patienten gefunden worden war, führten die Ärzte bei nachfolgenden Patienten, bei denen der Verdacht auf eine Vaping-Krankheit bestand, denselben Test durch. Alle hatten einen positiven Befund. Seit dem Einreichen der Ergebnisse zur Veröffentlichung ist die Zahl der Fälle von Vaping-Krankheit mit Lipid-beladenen Makrophagen auf zehn von zehn untersuchten Patienten angestiegen. Wöchentlich kommen neue Fälle hinzu. Es bleibt die Frage, ob die Vaping-Krankheit eine Art der Lipidpneumonie darstellt. Trotz Ähnlichkeiten gibt es auch Unterschiede. Im Gegensatz zur Vaping-Krankheit tritt eine klassische Lipidpneumonie typischerweise bei älteren Personen auf, die normalerweise durch versehentliches Einatmen von Laxanzien auf Ölbasis verursacht wird. Die klassische Lipoidpneumonie stellt sich auch bei Röntgenaufnahmen der Lunge anders dar. Zusätzliche Tests müssen durchgeführt werden, um festzustellen, ob die Vaping-Krankheit als eine neue Art von Lipidpneumonie eingestuft werden kann. „Wir müssen feststellen, ob diese Zellen für die Krankheit spezifisch sind oder ob sie auch bei Patienten auftreten, die nicht krank sind und keine Symptome aufweisen. Wenn sie nur bei erkrankten Patienten auftreten, können wir damit beginnen, Zusammenhänge herzustellen zwischen dem, was wir in den Lipid-beladenen Makrophagen sehen, und Komponenten der Vaping-Öle, die dieses Syndrom verursachen könnten“, sagt Aberegg.
Mehr erfahren zu: "„Seriosität, wie wir sie von Hütchenspielern kennen“" „Seriosität, wie wir sie von Hütchenspielern kennen“ Bei einer kurzfristig anberaumten gemeinsamen Pressekonferenz in Berlin haben die Deutsche Krankenhausgesellschaft (DKG) und die Kassenärztliche Bundesvereinigung (KBV) scharfe Kritik an der Bundesregierung geübt. Sie bemängelten zum einen den Referentenentwurf […]
Mehr erfahren zu: "Mit Bewegung und Ibuprofen gegen das Chemobrain" Mit Bewegung und Ibuprofen gegen das Chemobrain Bewegung und Ibuprofen können laut einer aktuellen Phase-II-Studie – einzeln oder in Kombination – die kognitive Funktion von Patienten unter Chemotherapie verbessern.
Mehr erfahren zu: "KI und Roboter statt Menschen: Vollautomatisiertes Labor im KIWI Biolab" KI und Roboter statt Menschen: Vollautomatisiertes Labor im KIWI Biolab Ein Labor ohne Menschen? An der TU Berlin ist das Realität. Ein vollautomatisiertes Labor führt mithilfe von Künstlicher Intelligenz und verschiedenen Robotern eigenständig Versuche und Analysen durch. Das KIWI Biolab […]