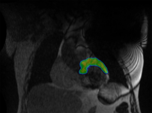
Neue Therapie für Patienten mit lebensbedrohlichen Herzrhythmusstörungen10. Mai 2019 Unter MRI Bildgebung wurde der betroffene Anteil des Herzmuskels gezielt bestrahlt (in Farbe). Bild: © Universitätsspital Zürich Weltweit erstmals ist es am Universitätsspital Zürich (USZ) gelungen, einen Patienten mit lebensbedrohlichen Herzrhythmusstörungen mit einer MR-geführten Radioablation erfolgreich zu behandeln. Seit April 2019 können in der Klinik für Radio-Onkologie am USZ Patientinnen und Patienten an einem MRI-Linac-Gerät behandelt werden. «Mit diesem Linearbeschleuniger können wir vor und während der Bestrahlung durch MR-Bildgebung jedes Ziel im Körper eines Patienten verfolgen und die Bestrahlung in Echtzeit steuern und anpassen», erklärt Dr. Tanadini-Lang, Leitende Physikerin der Klinik für Radio-Onkologie. Die Bestrahlung kann damit noch präziser erfolgen. Innovativer Therapieansatz für weitere Indikationen «Ursprünglich wurde diese neue Technologie für die Krebsbehandlung entwickelt», erklärt Prof. Matthias Guckenberger, Direktor der Klinik für Radio-Onkologie. «In einem Kooperationsprojekt der Klinik für Kardiologie, des Instituts für Diagnostische und Interventionelle Radiologie und der Klinik für Radio-Onkologie wurde die MRI-Linac-Technologie am USZ nun erstmals für eine sogenannte Radioablation zur Behandlung eines Patienten mit wiederkehrenden, lebensbedrohlichen Herzrhythmusstörungen eingesetzt.» Bei diesem Verfahren wird das für die Rhythmusstörung verantwortliche Areal des Herzmuskels gezielt bestrahlt. Alle anderen Optionen waren ausgeschöpft Der schwer herzkranke Patient hatte zuvor bereits intensive, aber erfolglose Therapien erhalten. «Trotz intensiver medikamentöser Therapie und mehrmaligen minimal-invasiven und chirurgischen Katheterablationen konnten die Rhythmusstörungen bisher nicht verhindert werden. Aufgrund der komplexen Rhythmusstörung und der Voreingriffe waren weitere invasive Verfahren nicht sinnvoll. Wir benötigten bei diesem Patienten einen neuen, innovativen Therapieansatz», erklärt PD Dr. Ardan Saguner, Oberarzt der Klinik für Kardiologie. Unter MRI Bildgebung wurde der betroffene Anteil des Herzmuskels gezielt bestrahlt (in Farbe). Bild: © Universitätsspital Zürich Die MRI-Linac-Technologie war bei diesem Patienten Voraussetzung dafür, dass eine Radioablation mit der notwendigen Präzision sicher durchgeführt werden konnte. Die lebensgefährlichen Rhythmusstörungen wurden durch die Radioablation gestoppt. Der Patient konnte inzwischen ohne Rhythmusstörungen nach Hause entlassen werden. «Diese erstmals durchgeführte MR-gesteuerte Radioablation von Herzrhythmusstörungen zeigt, wie am USZ erfolgreich interdisziplinär und interprofessionell neueste Technologie mit innovativen Therapieansätzen kombiniert werden», sagt Prof. Nicolaus Andratschke der Leiter des Projektes MRI-Linac und Radioablation von Herzrhythmusstörungen in der Klinik für Radio-Onkologie. «Noch handelt es sich bei dieser Behandlung um ein experimentelles Verfahren, das gezielt in größeren klinischen Studien auch in Bezug auf seine langfristige Wirksamkeit weiter untersucht werden muss», ergänzen Prof. Jan Steffel, Stv. Klinikdirektor und Prof. Frank Ruschitzka, Direktor der Klinik für Kardiologie. Die Klinische Forschungsgruppe am USZ baut dafür auch auf nationaler und internationaler Ebene Kooperationen auf, um den Stellenwert der Radioablation für diese Indikation sorgfältig zu überprüfen.
Mehr erfahren zu: "MitoCatch: Erkrankte Zellen mit gesunden Mitochondrien versorgen" MitoCatch: Erkrankte Zellen mit gesunden Mitochondrien versorgen Baseler Wissenschaftler haben das System MitoCatch entwickelt, das die gezielte Zufuhr gesunder Mitochondrien zu erkrankten Zelltypen ermöglicht. Diese Innovation könnte ein wichtiger Schritt in Richtung einer präzisen Mitochondrientherapie sein.
Mehr erfahren zu: "Typ-2-Diabetes und CKD: Metaanalyse vergleicht Wirksamkeit neuartiger Antidiabetika" Weiterlesen nach Anmeldung Typ-2-Diabetes und CKD: Metaanalyse vergleicht Wirksamkeit neuartiger Antidiabetika Eine aktuelle Metaanalyse aus China verdeutlicht: Neuartige Antidiabetika bieten Vorteile für Patienten mit Typ-2-Diabetes und gleichzeitiger chronischer Nierenkrankheit (CKD). Die optimale Intervention variiert jedoch je nach gewünschtem Behandlungsergebnis.
Mehr erfahren zu: "Limo, Tiefkühlpizza, Wurst – Für Kinder besonders schädlich?" Limo, Tiefkühlpizza, Wurst – Für Kinder besonders schädlich? Hochverarbeitete Lebensmittel wie Chips oder Wurst sind bei Kindern oft beliebt. Doch wer zu viel davon isst, kann dick werden. Fachleute erläutern, welche Folgen das noch haben kann.