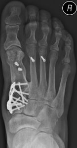
Update orthopädische Rheumatologie – Bis wann ist der Gelenkerhalt möglich?31. August 2022 Abb. 1: Zottige, hoch aktive Synovialitis im dorsomedialen Rezessus eines linken Kniegelenkes. (Bild: Gaulke) Die Entscheidung zwischen Erhalt, Ersatz, Resektion oder Versteifung eines Gelenkes bei entzündlich-rheumatischen Erkrankungen ist von vielen Faktoren abhängig und sollte von erfahrenen Rheumachirurgen vorgenommen werden. Im Folgenden gibt der Experte und derzeitige Präsident der Deutschen Gesellschaft für Orthopädische Rheumatologie (DGORh) eine Übersicht zu den aktuellen Optionen. Vor der Ära der Biologika war der Gelenkerhalt häufig nur durch eine totale Synovialektomie möglich. Bei noch intaktem Gelenk spricht man dabei von einer Frühsynovialektomie, liegen bereits Gelenkschäden vor, so wird die Prozedur als Spätsynovialektomie bezeichnet. Durch die Entfernung der Gelenkinnenhaut mit anschließender Radiosynoviorthese war es in vielen Fällen möglich, über Jahre die Gelenkzerstörung aufzuhalten oder zumindest zu verlangsamen und das Gelenk zu erhalten. Seit Einführung der Biologika (bDMARDs) und der small molecules (tsDMARDs) schreitet die Gelenkzerstörung sehr viel langsamer voran als unter den klassischen Basistherapeutika (csDMARDs). Das therapeutische Fenster für gelenkerhaltende Eingriffe ist somit länger geöffnet, was als günstig anzusehen ist. Dem entgegen steht allerdings, dass die Entzündung des Gelenkes unter wirksamer medikamentöser Therapie häufig schmerzarm oder -frei und daher vom Patienten unbemerkt verläuft, sodass sich das länger geöffnete therapeutische Fenster für gelenkerhaltende Eingriffe heute öfter ungenutzt schließt als früher, als die entzündeten Gelenke stark schmerzten (Abb. 1). Die Patienten entwickeln heutzutage häufig erst Beschwerden, wenn das Gelenk bereits stark zerstört ist und dann nur noch Resektionsarthroplastiken, Arthrodesen und Endoprothesen zur Schmerzbefreiung möglich sind. Um das primäre Ziel des Gelenkerhaltes zu erreichen, ist es daher unbedingt erforderlich, Hausärzte, internistische und orthopädische Rheumatologen sowie die Patienten selbst dafür zu sensibilisieren, sich bei persistierenden Gelenkschwellungen frühzeitig beim orthopädischen Rheumatologen vorzustellen, um durch eine zeitnahe Synovialektomie die Gelenke möglichst lange erhalten zu können. Da durch die bDMARD- und tsDMARD-Therapie die Entzündung häufig beruhigt oder stark reduziert werden kann, kommen für diese Patienten, vor allem an der unteren Extremität, auch achskorrigierende Osteotomien zur Anwendung, welche früher der Arthrose vorbehalten waren. Abb. 2: Klassische Vorfußkorrektur bei entzündlich-rheumatischen Erkrankungen: Tarsometatarsale I-Arthrodese und Resektionsarthroplastik Zehengrundgelenke II–V nach Hoffmann/Tillmann rechts. Abb. 3: Vorfußkorrektur analog zum Senk-Spreiz-Fuß bei beruhigter Krankheitsaktivität: Tarsometatarsale I-Arthrodese, Modifizierte Chevronosteotomie und Verkürzungsosteotomien MFK II und III rechts. Auch am Fuß haben die varisierende Osteotomie des Fersenbeins gegenüber der subtalaren Arthrodese und die Verkürzung der Mittelfußknochen bei Überlänge gegenüber den Resektionsarthroplastiken auch bei entzündlich-rheumatischen Erkrankungen an Bedeutung gewonnen. Die Resektionsarthroplastik der Zehengrundgelenke entspricht einer funktionellen Vorfußamputation, das heißt die Zehen sind zwar erhalten, können aber nicht kraftvoll bewegt werden (Abb. 2). Bei erhaltenen Gelenken hingegen ermöglicht die kräftige aktive Beugung der Zehen einen physiologischeren dynamischen Gang (Abb. 3). Wie lange ein Gelenkerhalt trotz bestehender Schäden möglich ist, hängt maßgeblich von der Belastung des Gelenkes ab, so tolerieren die Gelenke der oberen Extremitäten deutlich stärkere sekundäre Arthrosen als die belasteten Gelenke der unteren Extremitäten. Da im Rahmen einer totalen Synovialektomie immer auch eine Denervation des Gelenkes durch Resektion der in die Synovialis endenden Nerven erfolgt, können beispielsweise an der Schulter bei intakter Rotatorenmanschette auch dann noch Spätsynovialektomien sinnvoll durchgeführt werden, wenn die knöchernen Konturen des Humeruskopfes und des Glenoids, trotz des Verlustes des Knorpels, erhalten sind. Auch am Ellenbogengelenk kann trotz vollständigen Verlustes des Knorpels noch eine gute schmerzfreie Funktion in vielen Fällen wiederhergestellt werden. Insbesondere im Hinblick auf die relativ hohe Komplikationsrate der Ellenbogenendoprothesen sollten hier die Möglichkeiten der gelenkerhaltenden Eingriffe ausgeschöpft und die Indikation zur Endoprothese streng gestellt werden. Am Handgelenk kann bei geringer Krankheitsaktivität durch Sehnentransposition und Teilarthrodesen häufig eine Reposition und Stabilisierung des Karpus erzielt werden. Durch Vermeidung der totalen Arthrodese des Handgelenkes bleibt dem Patienten eine Restbeweglichkeit erhalten, welche vor allem für die Körperpflege sehr wertvoll ist. Aufgrund der geringen Haltbarkeit der Swanson-Spacer an den Fingergrundgelenken sollte auch hier bei beginnender Subluxation mit aktiv überwindbarer Schwanenhalsdeformität durch das Littler-Release mit Synovialektomie eine Stabilisierung der Fingergrundgelenke unter Gelenkerhalt durchgeführt werden. An den Mittelgelenken der Finger gestaltet sich aufgrund des kleinen Gelenkraumes und des engen Gelenkspaltes die totale Synovialektomie häufig schwierig. Neue Therapiekonzepte mit Oberflächenersatzprothesen an den Fingermittelgelenken kommen hier bei Kongruenzverlust durch stärkere knöcherne Arrosionen zunehmend zur Anwendung. An den Endgelenken ist die Synovialektomie ohne Versteifung in der Regel nicht erfolgversprechend. Am Unterarm kann auch bei entknorpelten Gelenkflächen ein Erhalt des Radius- und Ulnaköpfchens bei geringer Krankheitsaktivität zunehmend angestrebt werden. Dies verhindert die Instabilität der Aufhängung des Radius an der Elle, da die Membrana interossea gespannt bleibt. An der unteren Extremität toleriert das Hüftgelenk die Destruktion am geringsten. Synovialektomien an der Hüfte können arthroskopisch durchgeführt werden. Bei stärkeren Destruktionen sollte jedoch großzügig der endoprothetische Ersatz erfolgen. Am Kniegelenk kann bei Achsfehlstellung durch eine Korrektur der Achse der asymmetrische mechanische Reiz vom Gelenk genommen werden. Diese sollte aber immer dann, wenn eine Synovialitis vorliegt, mit einer totalen Synovialektomie kombiniert werden. Am oberen Sprunggelenk wird die arthroskopische Synovialektomie häufig mit einer Resektion von Osteophyten kombiniert, welche die Dorsalextension einschränkten. Solange der Talus nicht in das Pilon tibiale einbricht, kann auch hier der Versuch des Gelenkerhaltes unternommen werden. Bei einer Instabilität des Subtalargelenkes sollte sehr genau abgewogen werden, ob eine varisierende Verschiebeosteotomie des Kalkaneus zu einer ausreichenden Stabilisierung führt. Ansonsten sollte hier der subtalaren Arthrodese der Vorzug gegeben werden. Im Großzehengrundgelenk kann eine Synovialektomie mit Cheilektomie zu guten Ergebnissen führen, wenn die Grunderkrankung ausreichend beherrscht ist. An den MTP II–V kommt der plantaren Bursitis, welche das plantare Fettgewebe zerstört, eine größere Bedeutung als der Arthritis des Gelenkes zu. Hier sollte eine Verkürzungsosteotomie der Mittelfußknochen unter Erhalt der Gelenke nur dann durchgeführt werden, wenn die Grunderkrankung durch die Immunsuppression ausreichend beherrscht ist und keine plantaren Bursitiden vorliegen. Eine Synovialektomie an den Zehengrundgelenken ohne Resektion der plantaren Bursae ist in der Regel nicht zielführend, da mit einem frühen Rezidiv zu rechnen ist. Fazit Zusammenfassend bestehen unter guter Krankheitsberuhigung zunehmend auch für extraartikuläre Korrekturen gute Indikationen. Bei hoher entzündlich-rheumatischer Krankheitsaktivität hingegen werden mit den klassischen Gelenkoperationen bessere Ergebnisse erzielt. Zwischen diesen Optionen abzuwägen bedarf großer Erfahrung, weshalb die Behandlung in einem Spezialzentrum für operative Rheumachirurgie empfohlen wird. Eine Liste dieser Kliniken finden Sie unter www.dgorh.de Autor: Prof. Dr. med. Ralph GaulkeUnfallchirurgische Klinik, Sektion Obere Extremität, Fuß- und Rheumachirurgie Medizinische Hochschule HannoverCarl-Neuberg-Str. 1, 30625 Hannover
Mehr erfahren zu: "Die Vorbereitung auf den Ernstfall – eine „immense Herausforderung“" Die Vorbereitung auf den Ernstfall – eine „immense Herausforderung“ Das Thema „Katastrophen, Krisen, Krieg“ (3K) ist inzwischen die neue Normalität, die auch auf O&U-Kongressen abgebildet wird. In Baden-Baden wurde ein Rückblick, Up-date und Ausblick zur zivil-militärischen Zusammenarbeit geboten.
Mehr erfahren zu: "Weiterbildung in Deutschland und Österreich: „Gipfeltreffen“ auf dem VSOU-Kongress" Weiterbildung in Deutschland und Österreich: „Gipfeltreffen“ auf dem VSOU-Kongress In Deutschland wird zum Facharzt weitergebildet, in Österreich ausgebildet. Beides dauert 72 Monate. Wo die wichtigsten Gemeinsamkeiten, Unterschiede und jeweiligen Herausforderungen bei der Weiterbildung liegen, war Thema auf dem VSOU-Kongress.
Mehr erfahren zu: "„Seriosität, wie wir sie von Hütchenspielern kennen“" „Seriosität, wie wir sie von Hütchenspielern kennen“ Bei einer kurzfristig anberaumten gemeinsamen Pressekonferenz in Berlin haben die Deutsche Krankenhausgesellschaft (DKG) und die Kassenärztliche Bundesvereinigung (KBV) scharfe Kritik an der Bundesregierung geübt. Sie bemängelten zum einen den Referentenentwurf […]