Mehr erfahren zu: "Patientenakte-App soll bei Terminbuchung helfen" Patientenakte-App soll bei Terminbuchung helfen Die allermeisten Versicherten haben inzwischen auch digitale Akten für Behandlungsdaten. Doch viele nutzen sie nicht aktiv. Künftig sollen auch Terminbuchungen über die Patientenakte-App möglich sein. Kassenärzte und Krankenkassen stimmen grundsätzlich […]
Mehr erfahren zu: "Ministerium: Weiter großes Interesse an Landarztprämie" Ministerium: Weiter großes Interesse an Landarztprämie Bayern bezuschusst Mediziner, die sich außerhalb großer Zentren niederlassen. Die Zahl der Anträge für die Landarztprämie ist im Jahresvergleich allerdings nach unten gegangen.
Mehr erfahren zu: "Termingarantie für Facharzt? Kassenärzte: „Bullshit“" Termingarantie für Facharzt? Kassenärzte: „Bullshit“ Facharzttermine erst nach Wochen? Der SPD-Fraktionschef will das ändern. In der Ärzteschaft wird sein Vorschlag mit einem Kraftausdruck zurückgewiesen. Krankenkassen und Patientenschützer sind empört.
Mehr erfahren zu: "Individuelle Gesundheitsinformationen auf Knopfdruck" Individuelle Gesundheitsinformationen auf Knopfdruck Forschende aus Graz haben ein interaktives System entwickelt, das evidenzbasierte medizinische Informationen verständlich aufbereitet. Das Besondere der Anwendung: Die Inhalte werden automatisch an Vorwissen und Bedürfnisse von Patientinnen und Patienten […]
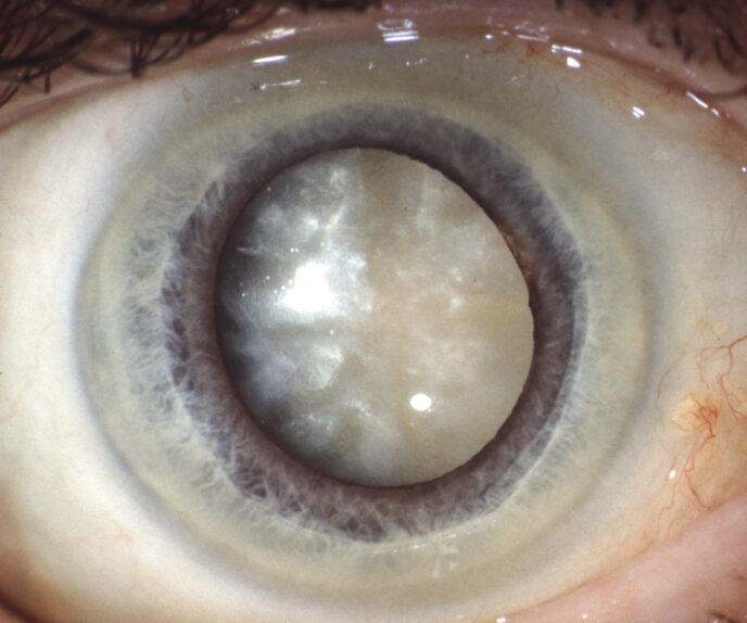
Mehr erfahren zu: "Wie altersbedingte Katarakte entstehen könnten" Wie altersbedingte Katarakte entstehen könnten Neue Forschungsergebnisse aus den USA zeigen, wie chemische Veränderungen in den Proteinen der Augenlinse zur Katarakt führen könnten. Hierzu untersuchen die Wissenschaftler den Zusammenhang von altersbedingter Oxidation mit Veränderungen in […]
Mehr erfahren zu: "Mobile Augenpraxis prämiert – Zi zeichnet Leuchtturm-Projekte der Patientenversorgung aus" Mobile Augenpraxis prämiert – Zi zeichnet Leuchtturm-Projekte der Patientenversorgung aus Das Zentralinstitut für die kassenärztliche Versorgung (Zi) hat drei herausragende Initiativen aus der ambulanten Versorgung mit dem Titel „Ausgezeichnete Gesundheit 2026“ prämiert. Ein Projekt betrifft die Versorgung von Augenpatienten.
Mehr erfahren zu: "Gesundheitsausgaben lagen 2025 weit über 500 Milliarden Euro" Gesundheitsausgaben lagen 2025 weit über 500 Milliarden Euro In den vergangenen 30 Jahren haben sich die Ausgaben im Gesundheitswesen mehr als verdreifacht. Eine detaillierte Statistik zum Jahr 2024 zeigt, wo die Kosten am meisten stiegen.
Mehr erfahren zu: "Greifswalder Projekt „Retinal Age“: KI soll chronische Krankheiten erkennen" Greifswalder Projekt „Retinal Age“: KI soll chronische Krankheiten erkennen Die Netzhaut verrät als „Fenster zum Körper“ nicht nur etwas über die Gesundheit der Augen. Auch Hinweise etwa auf Herz- oder Nierenprobleme kann sie liefern. Dank Künstlicher Intelligenz (KI), die […]
Mehr erfahren zu: "Deutscher Krebspreis 2026 geht an sechs Wissenschaftler" Deutscher Krebspreis 2026 geht an sechs Wissenschaftler Der Deutsche Krebspreis − verliehen von der Deutschen Krebsgesellschaft und der Deutschen Krebsstiftung − wird jährlich in den Kategorien „Translationale Forschung“, „Klinische Forschung“, „Experimentelle Forschung“ und „Versorgungsforschung“ vergeben.
Mehr erfahren zu: "Adhäsions-GPCRs: Neuer Schlüsselmechanismus entdeckt" Adhäsions-GPCRs: Neuer Schlüsselmechanismus entdeckt Ein Forschungsteam der Universität Leipzig hat einen Mechanismus, einer speziellen Gruppe von Zelloberflächen-Rezeptoren, den Adhäsions-G-Protein-gekoppelten Rezeptoren (Adhäsions-GPCRs) aufgeklärt. Dieser Mechanismus ist für die Aktivität vieler dieser Rezeptoren essenziell.
Mehr erfahren zu: "Aderhautmelanom: Dreifachkombination von Wirkstoffen zeigt gute Ergebnisse" Aderhautmelanom: Dreifachkombination von Wirkstoffen zeigt gute Ergebnisse Eine aktuelle Arbeit zeigt, dass der SCD1-Inhibitor Aramchol in Kombination mit dem Multi-Kinase-Inhibitor Regorafenib und dem Diabetesmedikament Metformin wirkt, um Zellen des Aderhautmelanoms (UM) abzutöten.
Mehr erfahren zu: "Netzhautdegeneration: Schutzmechanismen für Zapfen-Photorezeptoren entdeckt" Netzhautdegeneration: Schutzmechanismen für Zapfen-Photorezeptoren entdeckt Schweizer Forschende haben genetische Signalwege und Wirkstoffe identifiziert, die in der Lage sind, Zapfen-Photorezeptoren vor der Degeneration zu schützen.
Mehr erfahren zu: "Strategischer Einsatz von KI als Schlüssel für die Zukunftsfähigkeit von Kliniken" Strategischer Einsatz von KI als Schlüssel für die Zukunftsfähigkeit von Kliniken Wie können Krankenhäuser Künstliche Intelligenz (KI) so einsetzen, dass sie medizinisches Personal nachhaltig entlastet, die Versorgungsqualität verbessert und gleichzeitig regulatorischen Anforderungen gerecht wird? Antworten liefert das neue Whitepaper „Künstliche Intelligenz […]
Mehr erfahren zu: "Ministerium: Weiter großes Interesse an Landarztprämie" Ministerium: Weiter großes Interesse an Landarztprämie Bayern bezuschusst Mediziner, die sich außerhalb großer Zentren niederlassen. Die Zahl der Anträge für die Landarztprämie ist im Jahresvergleich allerdings nach unten gegangen.
Mehr erfahren zu: "„Sechs Sterne“ für die Hornhautbank der Uniklinik RWTH Aachen" „Sechs Sterne“ für die Hornhautbank der Uniklinik RWTH Aachen Die Hornhautbank der Klinik für Augenheilkunde an der Uniklinik RWTH Aachen ist erneut ausgezeichnet worden. In Anerkennung ihrer Exzellenz hat die Hornhautbank von der Initiative Ludwig-Erhard-Preis (ILEP) das Zertifikat „Recognised […]
Mehr erfahren zu: "Massive Kritik an Warkens Sparplänen" Massive Kritik an Warkens Sparplänen Nach der Vorstellung des Sparpaketes zu den Krankenkassenbeiträgen hagelt es Mahnungen und Kritik. Aus den Parteien kommen Vorwürfe der Unausgewogenheit. Die Leistungsanbieter fürchten den Abriss des Gesundheitssystems.
Mehr erfahren zu: "Grundversorgende Fachärzte kritisieren GKV-Sparpläne der Bundesregierung" Grundversorgende Fachärzte kritisieren GKV-Sparpläne der Bundesregierung Die Verbände der grundversorgenden Fachärztinnen und Fachärzte kritisieren die gestern vorgestellten Sparpläne für die Gesetzliche Krankenversicherung (GKV).
Mehr erfahren zu: "Ärztepräsident hält Gesundheitssparpaket für ausgewogen" Ärztepräsident hält Gesundheitssparpaket für ausgewogen Die Gesundheitsministerin hat ein Sparpaket vorgelegt, um die Ausgaben der Krankenkassen in den Griff zu bekommen. Alle Beteiligten des Gesundheitssystems sollen dazu beitragen. Was sagen die Ärzte?
Mehr erfahren zu: "Vom Gewebeschnitt zur Datenquelle: KI-Werkzeug eröffnet neue Möglichkeiten für Klinik und Forschung" Vom Gewebeschnitt zur Datenquelle: KI-Werkzeug eröffnet neue Möglichkeiten für Klinik und Forschung Trotz ihrer zentralen Bedeutung lassen sich mikroskopische Bilder menschlicher Gewebe häufig nur schwer systematisch auswerten und mit anderen biologischen Datentypen verknüpfen. Eine neue Studie in „Nature Methods“ stellt nun ein […]
Mehr erfahren zu: "Glyphosat-Streit drückt Bayer noch tiefer in die Verlustzone" Glyphosat-Streit drückt Bayer noch tiefer in die Verlustzone Acht Jahre ist es her, da schluckte Bayer den langjährigen US-Konkurrenten Monsanto. Finanziell war das eine bittere Pille: Rechtsstreitigkeiten zu Glyphosat lasten noch immer schwer auf dem Konzern.
Mehr erfahren zu: "Total-Body-PET/CT an der MHH: Detaillierte Ganzkörperbilder in einem Schritt" Total-Body-PET/CT an der MHH: Detaillierte Ganzkörperbilder in einem Schritt An der Medizinischen Hochschule Hannover (MHH) wurde der erste Total-Body-PET/CT in Deutschland − der vierte weltweit − in Betrieb genommen. Laut MHH setzt er neue Maßstäbe in Diagnostik, Patientenversorgung und […]
Mehr erfahren zu: "Brailleschrift: Nominiert für das weltweite Immaterielle Kulturerbe der Menschheit" Brailleschrift: Nominiert für das weltweite Immaterielle Kulturerbe der Menschheit Was haben Yoga, der Tango und die Mittelmeerküche gemeinsam? Diese kulturellen Ausdrucksformen wurden von der UNESCO zum weltweiten Immateriellen Kulturerbe der Menschheit erklärt. Nun soll die Brailleschrift in diese Liste […]
Mehr erfahren zu: "Mobile Augenpraxis prämiert – Zi zeichnet Leuchtturm-Projekte der Patientenversorgung aus" Mobile Augenpraxis prämiert – Zi zeichnet Leuchtturm-Projekte der Patientenversorgung aus Das Zentralinstitut für die kassenärztliche Versorgung (Zi) hat drei herausragende Initiativen aus der ambulanten Versorgung mit dem Titel „Ausgezeichnete Gesundheit 2026“ prämiert. Ein Projekt betrifft die Versorgung von Augenpatienten.
Mehr erfahren zu: "Gesundheitsausgaben lagen 2025 weit über 500 Milliarden Euro" Gesundheitsausgaben lagen 2025 weit über 500 Milliarden Euro In den vergangenen 30 Jahren haben sich die Ausgaben im Gesundheitswesen mehr als verdreifacht. Eine detaillierte Statistik zum Jahr 2024 zeigt, wo die Kosten am meisten stiegen.